症例詳細
Case detail
インビザラインで整える深い噛み合わせ
治療症例の内容
- 診療科目
- 治療カテゴリ
- 担当医
- 河口智英(ドクタープロフィール)
- 患者様
- 20代女性
- 治療期間
- 2年
- 治療回数
- 10-30回
- 治療計画
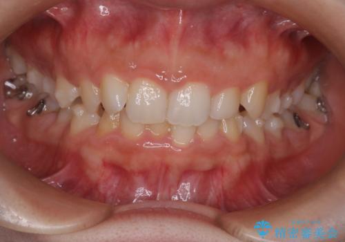
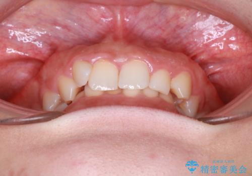
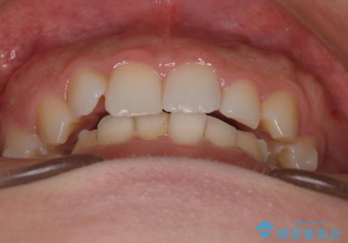
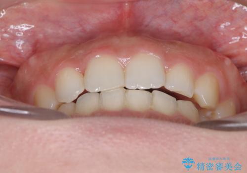
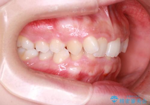
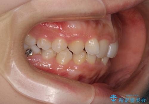
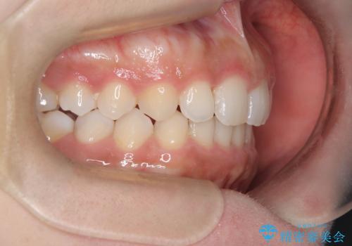
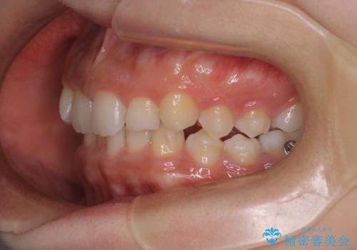
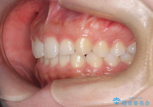
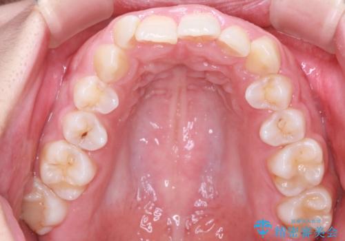
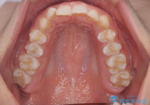
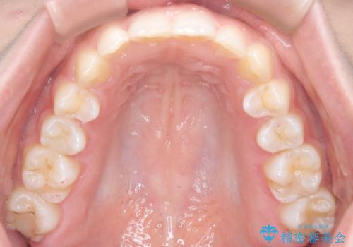
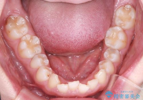
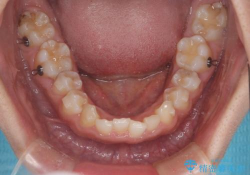
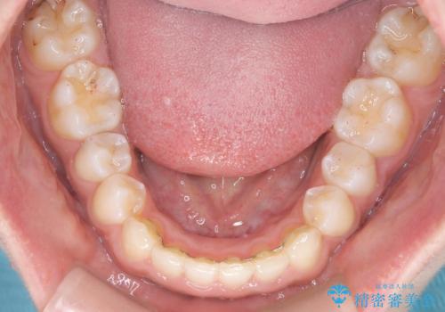
- 患者様は、ディープバイト(深い噛み合わせ)と、咬合平面の左下がりが気になるとのことでご来院されました。診断の結果、非抜歯で治療可能と判断し、透明なマウスピース型矯正装置「インビザライン」を用いる方針としました。治療では、歯列全体の調整を行いながら、咬合平面の水平化を重点的に進める計画を立案しました。2年間で計画的にマウスピースを交換し、左右のバランスと噛み合わせの改善を目指しました。
- 費用(概算)
- 90万円費用は治療当時の料金となります
治療について
ディープバイトの矯正は、噛み合わせが深くなりがちなため、細心の注意を払いながら進める必要があります。本症例では、奥歯の高さを調整しつつ前歯の噛み合わせを浅くすることで、全体の咬合バランスを整えました。また、咬合平面の左下がりを修正する過程で、歯列に不均等な力がかからないよう、インビザラインのアタッチメント配置を最適化しました。患者様には装着時間を守っていただき、治療が計画通り進むよう協力をお願いしました。治療終了後には、リテーナーを装着して安定性を確保しました。
マウスピース矯正の注意事項(リスク・副作用など)
- 口腔内・歯並びの状態によっては対応できない場合があります
- マウスピース型矯正装置の長時間装着(1日20時間以上)が必須です
- 治療計画通りに進めるためには、患者様の意志が重要になります
- 矯正治療後の保定が不十分だと後戻り(元の位置に戻ろうとする動き)をします
- 薬機法対象外の矯正歯科装置のため医薬品副作用被害救済制度の対象外となる場合があります
- 自費診療(保険適用外)となります
当サイトの内容、テキスト、画像等の無断転載、複製、複写、盗用を固く禁じます。


















