症例詳細
Case detail
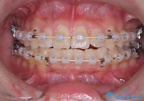
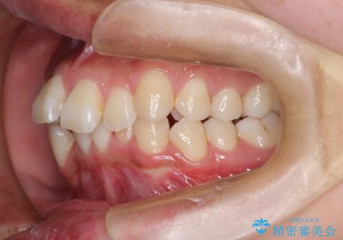
非抜歯で整える前歯の矯正
治療症例の内容
- 担当医
- 河口智英(ドクタープロフィール)
- 患者様
- 30代女性
- 矯正装置
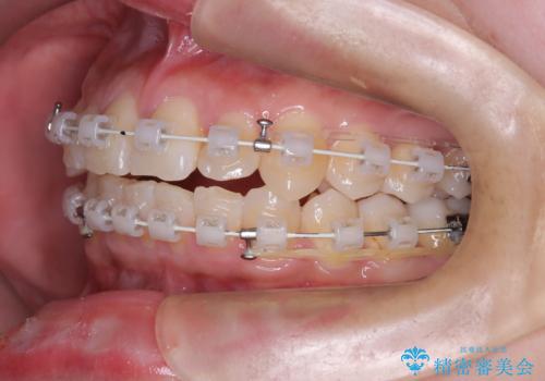
- 審美ワイヤー
- 治療期間
- 2年
- 治療回数
- 10-30回
- 治療計画
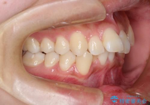
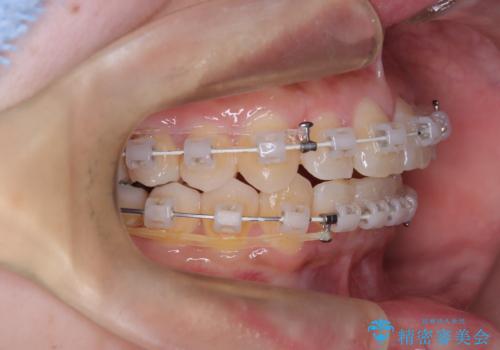
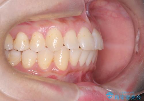
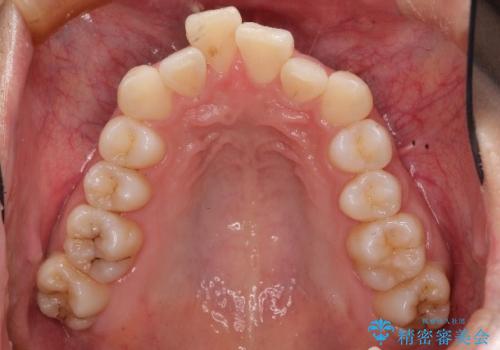
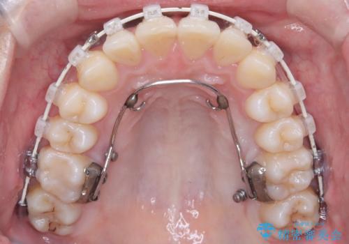
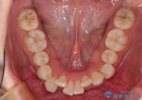
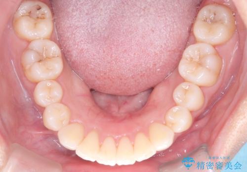
- 患者様は、前歯の重なり(叢生)が気になるとのことでご来院されました。診断の結果、奥歯を後方に移動することで前歯にスペースを確保し、非抜歯で歯列を整える方針としました。治療には審美性の高いホワイトワイヤーを使用し、奥歯の遠心移動にはリンガルアーチを装着しました。治療期間は約2年を予定し、月に一度の調整を通じて歯の動きを細かく管理しました。
- 費用(概算)
- 100万円費用は治療当時の料金となります
治療について
非抜歯矯正は、歯を抜かずに自然な歯列を作るため、歯列全体のバランスを考慮する必要があります。本症例では、リンガルアーチによる奥歯の遠心移動を用いましたが、初期段階で軽い違和感を覚える方もいらっしゃいます。そのため、装置装着後のケアや食生活について詳しく説明を行い、患者様にも協力いただきました。また、審美ワイヤーを使用することで、日常生活での見た目のストレスを軽減し、治療を快適に進めることができました。
ワイヤー矯正の注意事項(リスク・副作用など)
- 治療中は違和感や痛みが起こることがあります
- 症状により、抜歯が必要な場合があります
- 治療中は歯磨きがしにくくなるため、虫歯や歯周病になりやすくなります
- 矯正治療後の保定が不十分だと後戻り(元の位置に戻ろうとする動き)をします
- 自費診療(保険適用外)となります
当サイトの内容、テキスト、画像等の無断転載、複製、複写、盗用を固く禁じます。















