症例詳細
Case detail
食べ物がよくはさまるのが気になる。オールセラミッククラウンによる補綴治療
治療症例の内容
- 診療科目
- 治療カテゴリ
- 担当医
- 齋藤佑磨(ドクタープロフィール)
- 患者様
- 50代男性
- 治療期間
- 1ヶ月
- 治療回数
- 2-5回
- 治療計画
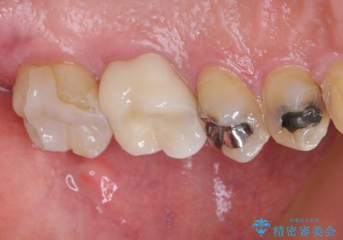
- 奥歯に食べ物がよくはさまるのが気になるとのことで来院された患者様です。
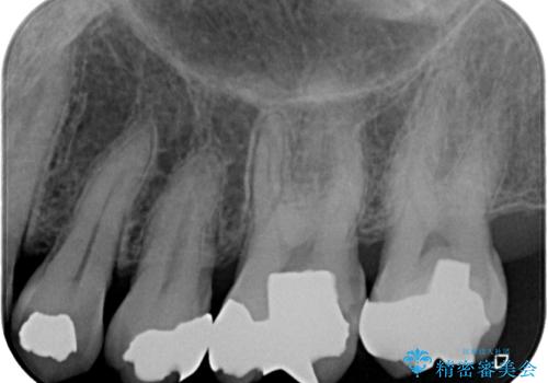
フロスをすると第一大臼歯の部分が引っ掛かり段差になっていることがわかりました。
インレーの範囲が大きいためオールセラミッククランにて補綴することとしました。
前後の歯の詰め物のやり替えも提案しましたが、患者様の希望により第一大臼歯から治療を始めていくこととしました。
- 費用(概算)
- 13万円(税込)費用は治療当時の料金となります
治療について
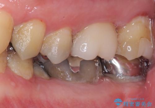
フロスの引っ掛かりもなくなり、食べ物もはさまりにくくなったそうで、満足されました。
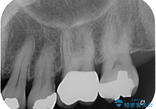
定期的にメンテナンスで来院される患者様なのでレントゲン等で虫歯の進行を確認し、必要があれば隣在歯の治療に介入していく予定です。
セラミック治療の注意事項(リスク・副作用など)
- 天然歯を削ります
- 硬い素材は天然歯を傷つけてしまう場合があります
- かみ合わせや歯ぎしりが強すぎる方はセラミックが割れてしまう可能性があります
- 自費診療(保険適用外治療)となります
当サイトの内容、テキスト、画像等の無断転載、複製、複写、盗用を固く禁じます。








