症例詳細
Case detail
見た目の悪いクラウンをやりかえたい
治療症例の内容
- 患者様
- 50代女性
- 治療期間
- 7ヶ月
- 治療回数
- 10-30回
- 治療計画
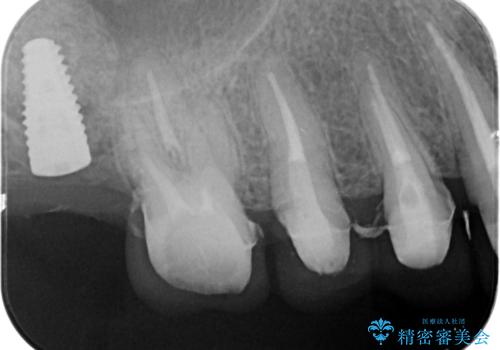
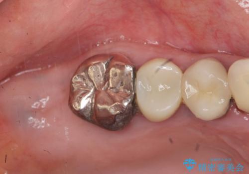
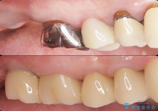
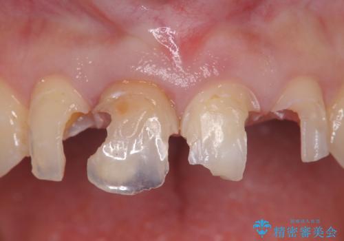
- 色や形、適合の悪いクラウンの再治療を希望され来院されました。
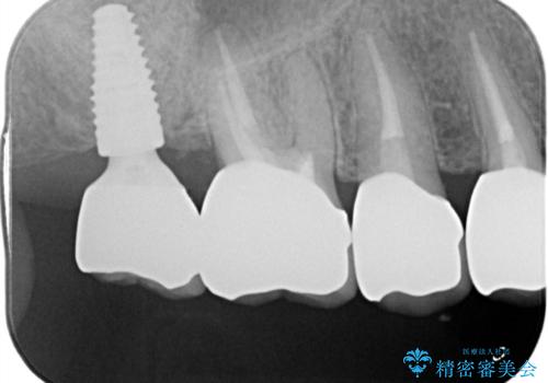
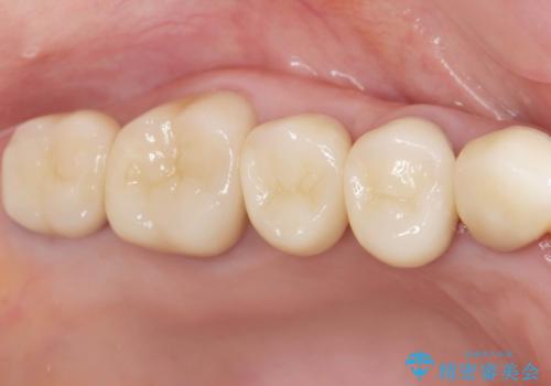
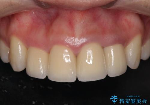
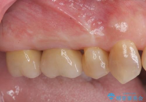
装着されているクラウンを除去し、自然な色調のジルコニアクラウンによる審美生の改善、インプラントを用いた欠損部の機能回復を計画します。
- 費用(概算)
- 88万円(インプラント・チタンカスタムアバットメント・ジルコニアクラウン×4・仮歯×4)費用は治療当時の料金となります
治療について
自然な仕上がりとインプラントによる咬合機能の回復に満足いただくことができました。
セラミック治療の注意事項(リスク・副作用など)
- 天然歯を削ります
- 硬い素材は天然歯を傷つけてしまう場合があります
- かみ合わせや歯ぎしりが強すぎる方はセラミックが割れてしまう可能性があります
- 自費診療(保険適用外治療)となります
当サイトの内容、テキスト、画像等の無断転載、複製、複写、盗用を固く禁じます。









