症例詳細
Case detail
歯並びのせいで歯ブラシがしづらい マルチブラケットを用いた抜歯矯正
治療症例の内容
- 診療科目
- 治療カテゴリ
- 担当医
- 大元洋佑(ドクタープロフィール)
- 患者様
- 20代女性
- 矯正装置
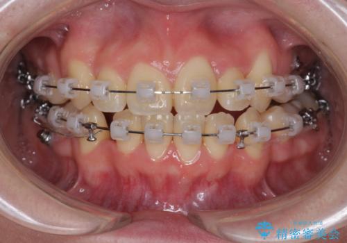
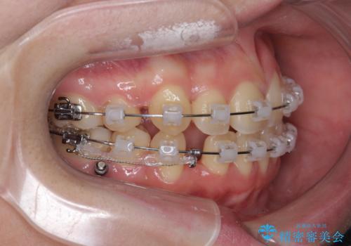
- マルチブラケット矯正
- 治療期間
- 2年6ヶ月
- 治療回数
- 10-30回
- 治療計画
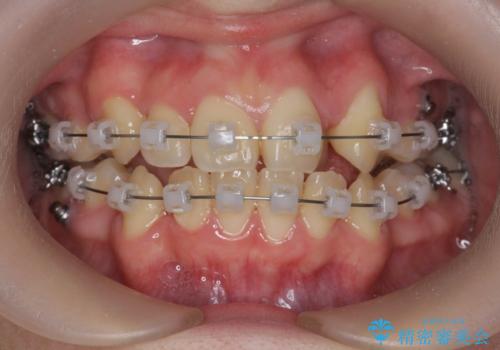
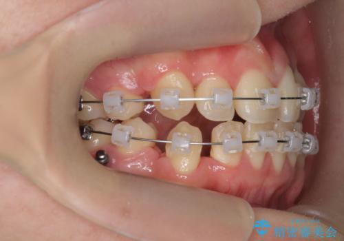
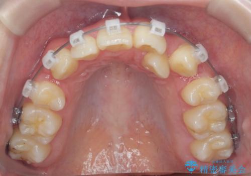
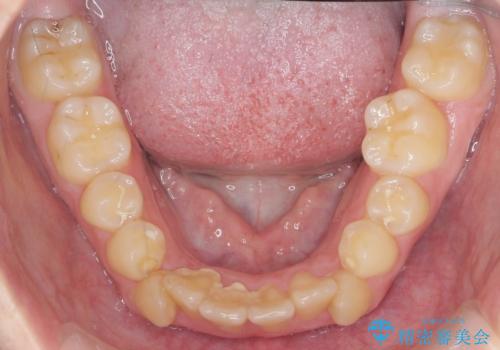
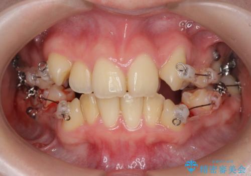
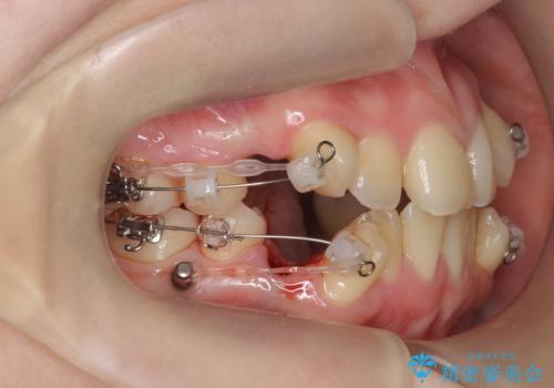
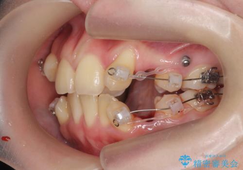
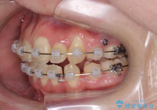
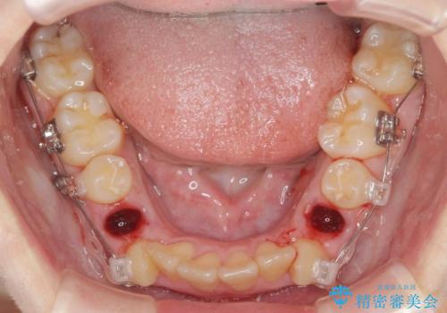
- 歯並びのがたつきにより歯ブラシがしづらく、今後虫歯になってしまう不安から、矯正治療を希望されて来院されました。
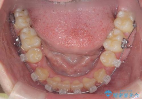
歯を並べるにはスペースが不足しているため、小臼歯の抜歯を4本行うマルチブラケット矯正による治療を計画します。
- 費用(概算)
- 88万円費用は治療当時の料金となります
治療について
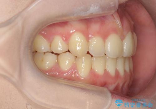
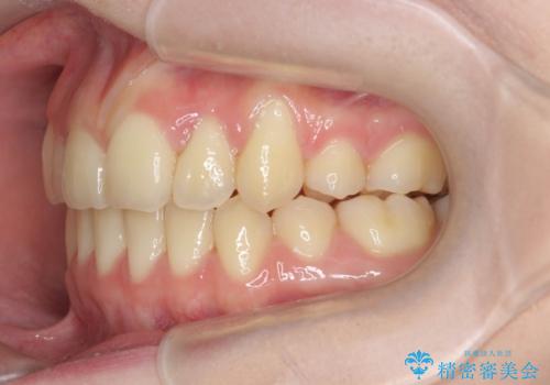
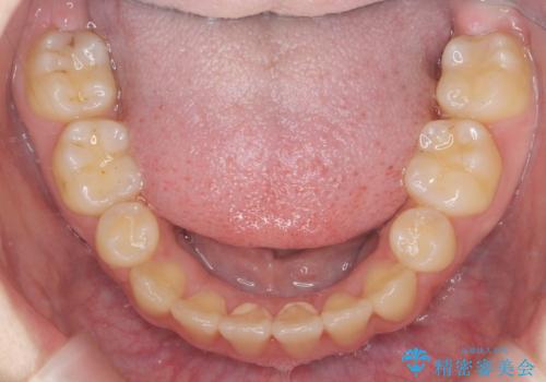
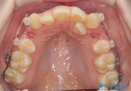
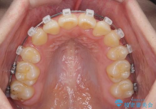
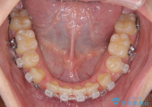
治療後は非常に歯ブラシがしやすくなったと、治療結果に満足いただくことができました。
ワイヤー矯正の注意事項(リスク・副作用など)
- 治療中は違和感や痛みが起こることがあります
- 症状により、抜歯が必要な場合があります
- 治療中は歯磨きがしにくくなるため、虫歯や歯周病になりやすくなります
- 矯正治療後の保定が不十分だと後戻り(元の位置に戻ろうとする動き)をします
- 自費診療(保険適用外)となります
当サイトの内容、テキスト、画像等の無断転載、複製、複写、盗用を固く禁じます。

























