症例詳細
Case detail
【審美装置】歯を抜いてEラインをきれいに
治療症例の内容
- 診療科目
- 治療カテゴリ
- 担当医
- 菊地俊介(ドクタープロフィール)
- 患者様
- 20代女性
- 矯正装置
- 審美装置
- 治療期間
- 1年6ヶ月
- 治療回数
- 10-30回
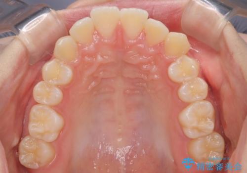
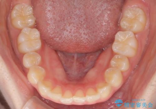
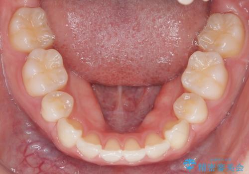
- 治療計画
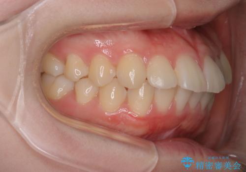
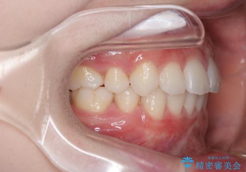
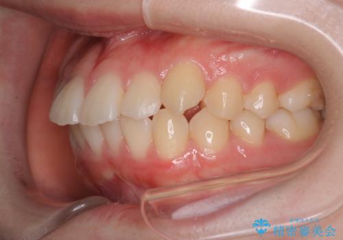
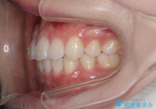
- 出っ歯を主訴に来院されました。今回は4番の歯を4本抜歯をし、ワイヤー矯正にて治療しました。
- 費用(概算)
- 99万円(税込)費用は治療当時の料金となります
治療について
抜歯矯正のため2年を予定してましたが、予定よりも早く終わることができました。また口元も下がり、かみ合わせも改善しました。
ワイヤー矯正の注意事項(リスク・副作用など)
- 治療中は違和感や痛みが起こることがあります
- 症状により、抜歯が必要な場合があります
- 治療中は歯磨きがしにくくなるため、虫歯や歯周病になりやすくなります
- 矯正治療後の保定が不十分だと後戻り(元の位置に戻ろうとする動き)をします
- 自費診療(保険適用外)となります
当サイトの内容、テキスト、画像等の無断転載、複製、複写、盗用を固く禁じます。













