症例詳細
Case detail
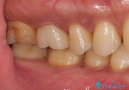
セラミックの詰め物が割れた フルジルコニアクラウン
治療症例の内容
- 診療科目
- 治療カテゴリ
- 担当医
- 有澤哲郎(ドクタープロフィール)
- 患者様
- 40代男性
- 治療期間
- 1ヶ月
- 治療回数
- 2-5回
- 治療計画
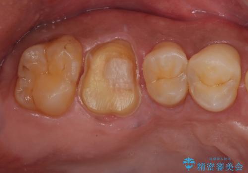
- セラミックの詰め物が割れたとのことで来院された患者様です。現在に至るまで二度セラミックの詰めもの(セラミックインレー)が割れていて、噛み合わせも強い方なのでフルジルコニアクラウンとゴールドクラウン(PGAクラウン)を治療方法としてご提案しました。
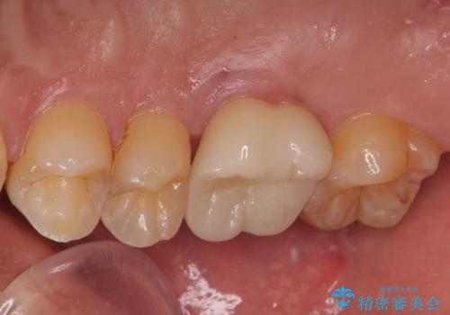
患者様と相談した結果、強度と見た目の良いフルジルコニアクラウンで治療していくことになりました。
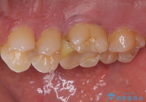
拡大鏡視野下で保険のプラスチック(コンポジットレジン)、虫歯を除去し、フルジルコニアクラウン、に適した形にしました。
歯と歯茎の間に圧排糸と呼ばれる糸を入れてシリコーン印象を行いました。
- 費用(概算)
- 9万円(税込み)費用は治療当時の料金となります
治療について
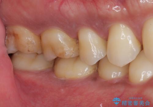
前から6番目の歯の頬側は個人差はありますが笑った時に見えるのでセラミックによる治療を行うと非常に審美的です。
見た目、機能面ともに満足していただけました。
噛み合わせが強いので今後はナイトガードを使ってもらいながらメンテナンスで通ってもらい経過を診ていく予定です。
セラミック治療の注意事項(リスク・副作用など)
- 天然歯を削ります
- 硬い素材は天然歯を傷つけてしまう場合があります
- かみ合わせや歯ぎしりが強すぎる方はセラミックが割れてしまう可能性があります
- 自費診療(保険適用外治療)となります
その他の注意事項(リスク・副作用など)
- 担当歯科医師、歯科衛生士又は医院スタッフから受けた説明・注意事項をよくご確認ください
- 医療を提供するに当たり、適切な説明を行い、患者様の十分な理解を得るよう努めております
当サイトの内容、テキスト、画像等の無断転載、複製、複写、盗用を固く禁じます。









