症例詳細
Case detail
50代女性 銀歯をとって白いつめものに 全体的な治療
治療症例の内容
- 担当医
- 井上季実子(ドクタープロフィール)
- 患者様
- 50代女性
- 治療期間
- 2年
- 治療回数
- 30回以上
- 治療計画
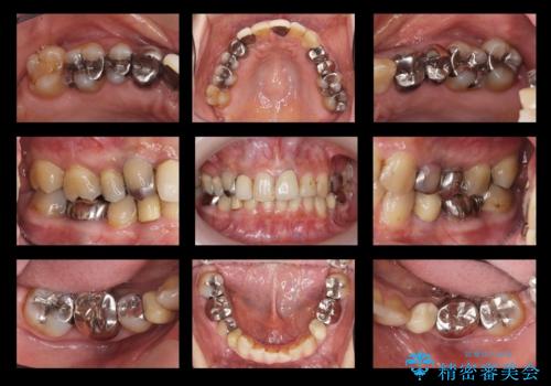
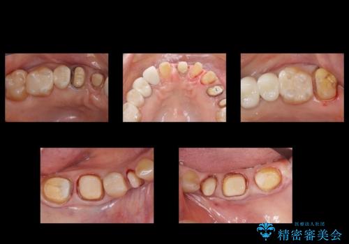
- 銀歯や被せ物のやり替えをご希望で来院。悪いところはすべて治していきたいとのことでした。
根の治療を含めてしっかりやり直しを行いました。
- 費用(概算)
- 356.2万円費用は治療当時の料金となります
治療について
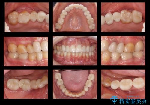
本数も多く、時間はかかりましたが、しっかり通いきっていただきました。
セラミック治療の注意事項(リスク・副作用など)
- 天然歯を削ります
- 硬い素材は天然歯を傷つけてしまう場合があります
- かみ合わせや歯ぎしりが強すぎる方はセラミックが割れてしまう可能性があります
- 自費診療(保険適用外治療)となります
当サイトの内容、テキスト、画像等の無断転載、複製、複写、盗用を固く禁じます。









