症例詳細
Case detail
上の前歯の色味が気になる オールセラミッククラウン
治療症例の内容
- 診療科目
- 治療カテゴリ
- 担当医
- 有澤哲郎(ドクタープロフィール)
- 患者様
- 20代女性
- 治療期間
- 3ヶ月
- 治療回数
- 2-5回
- 治療計画
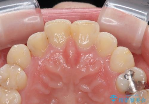
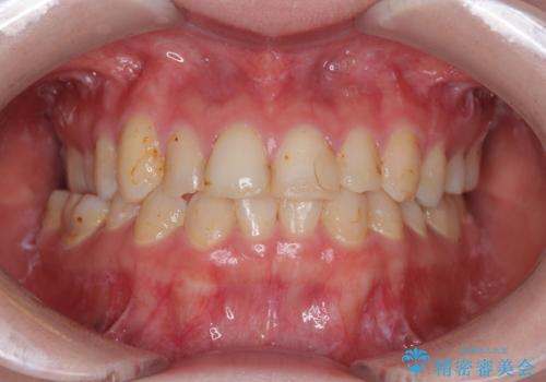
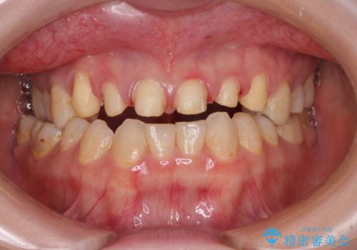
- 前歯の色味が気になるとのことで来院された患者様です。今までに保険のプラスチック(コンポジットレジン)で虫歯の治療をしており経年的な劣化により着色が目立つようになっていました。また歯と歯の隣り合っているところに段差もあり虫歯になっているところもあったため前歯6本のオールセラミッククラウンによる治療を行うこととなりました。
拡大鏡視野下で保険のプラスチック(コンポジットレジン)、虫歯を除去し、オールセラミッククラウンに適した形にしました。
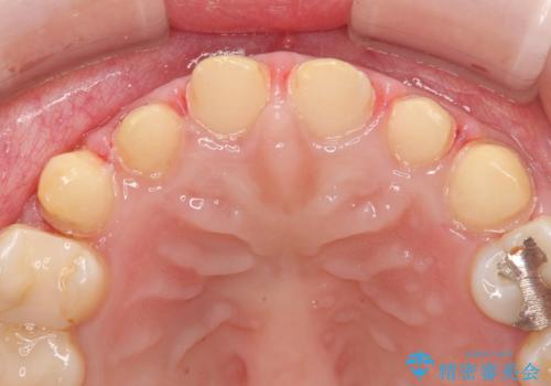
また今回は6本と本数も多かったため個歯トレーを用いて複数本の歯を正確に型どりしています。
- 費用(概算)
- 80万円(税込み)費用は治療当時の料金となります
治療について
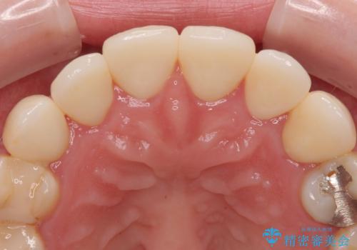
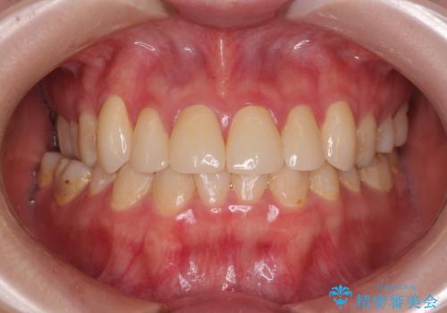
被せものが出来上がってから数回形や色の修正がありましたが機能的にも見た目も大変満足していただきました。
また個歯トレーによる型どりは頬粘膜や舌により型どりが困難な時には大変有効です。
今後は奥歯の治療に取り掛かっていく予定です。
セラミック治療の注意事項(リスク・副作用など)
- 天然歯を削ります
- 硬い素材は天然歯を傷つけてしまう場合があります
- かみ合わせや歯ぎしりが強すぎる方はセラミックが割れてしまう可能性があります
- 自費診療(保険適用外治療)となります
その他の注意事項(リスク・副作用など)
- 担当歯科医師、歯科衛生士又は医院スタッフから受けた説明・注意事項をよくご確認ください
- 医療を提供するに当たり、適切な説明を行い、患者様の十分な理解を得るよう努めております
当サイトの内容、テキスト、画像等の無断転載、複製、複写、盗用を固く禁じます。












