症例詳細
Case detail
気になる上顎前突 補助装置を用いた抜歯矯正で口元をすっきりと
治療症例の内容
- 診療科目
- 担当医
- 藤巻太一朗(ドクタープロフィール)
- 患者様
- 20代女性
- 矯正装置
- 審美装置
- 治療期間
- 1年11ヶ月
- 治療回数
- 10-30回
- 治療計画
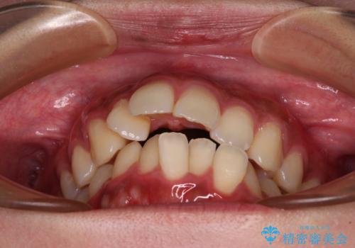
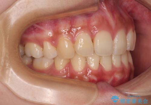
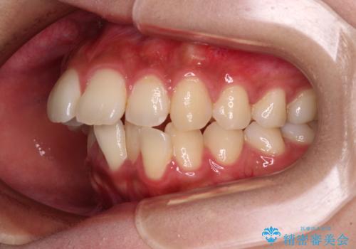
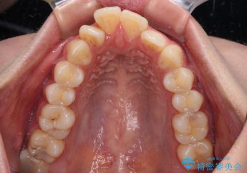
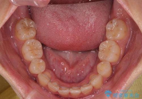
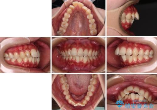
- 前歯の突出感とデコボコを気にして来院された患者様です。
奥歯の噛み合わせをみると、上顎歯列が全体的に前突している状態であり、この咬み合わせのまま歯列を整えると出っ歯になってしまう可能性がありました。
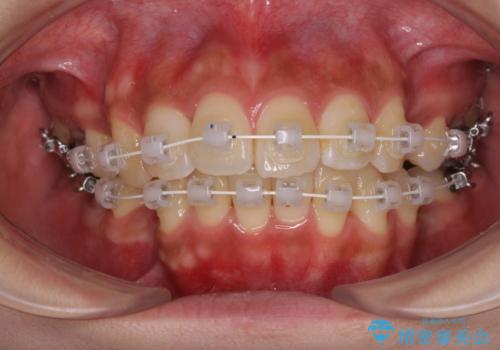
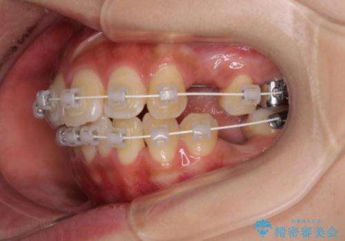
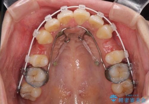
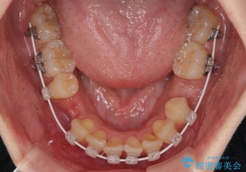
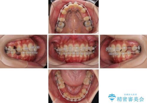
アンカースクリューと補助装置を使用して上顎大臼歯を遠心移動させることで咬み合わせを改善し、更には口元の突出感を改善するために上下左右の小臼歯4本を抜歯し、ワイヤー装置によりデコボコを解消しながら口元の突出感も改善していくこととしました。
- 費用(概算)
- 治療費の目安: 115万円(税込)費用は治療当時の料金となります
治療について
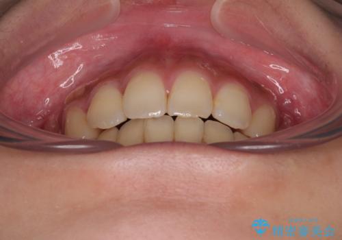
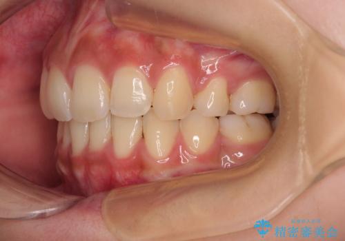
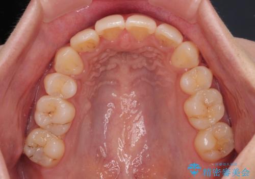
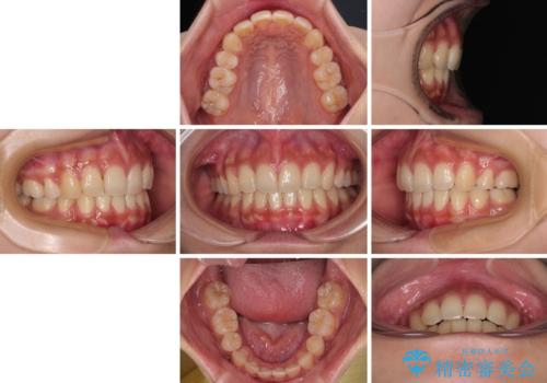
上下の前歯が接触する仕上がりとなったので、横顔の印象が大幅に改善されました。
ワイヤー矯正の注意事項(リスク・副作用など)
- 治療中は違和感や痛みが起こることがあります
- 症状により、抜歯が必要な場合があります
- 治療中は歯磨きがしにくくなるため、虫歯や歯周病になりやすくなります
- 矯正治療後の保定が不十分だと後戻り(元の位置に戻ろうとする動き)をします
- 自費診療(保険適用外)となります
当サイトの内容、テキスト、画像等の無断転載、複製、複写、盗用を固く禁じます。


























