症例詳細
Case detail
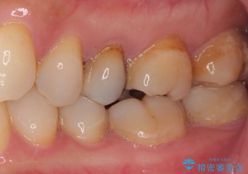
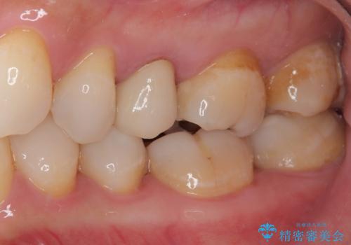
オールセラミッククラウンによる奥歯のむし歯治療
治療症例の内容
- 診療科目
- 治療カテゴリ
- 担当医
- 藤巻太一朗(ドクタープロフィール)
- 患者様
- 40代女性
- 治療期間
- 3ヶ月
- 治療回数
- 5-10回
- 治療計画
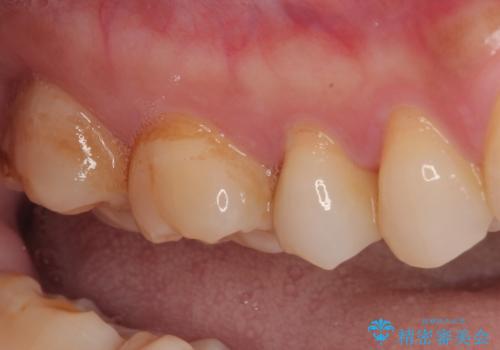
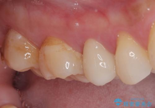
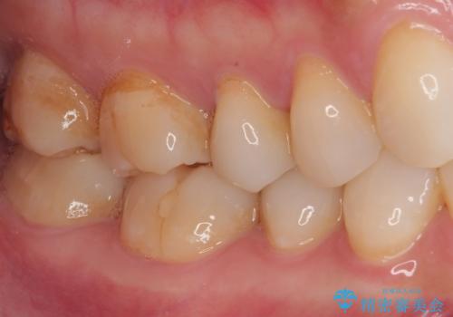
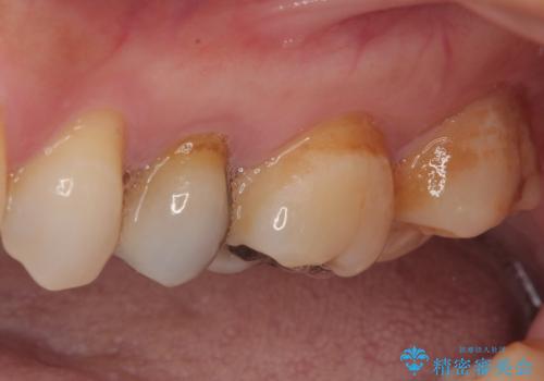
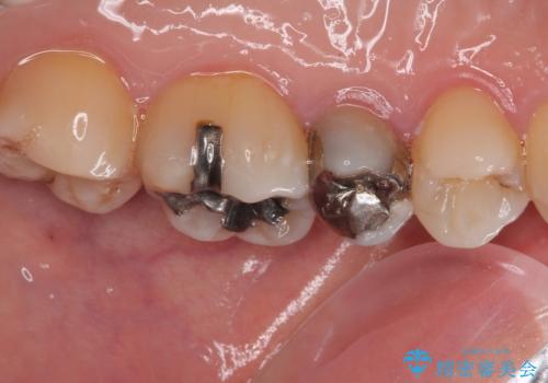
- むし歯と銀歯を気にして来院された患者様です。
銀歯の歯は既に根管治療がされており、根尖部に病変が認められないため、根管治療を行うことなくオールセラミッククラウンにて補綴治療を行うこととしました。
むし歯の症状のある歯は、ややしみることがある程度でしたが、レントゲン写真では非常にむし歯が大きく、神経組織に迫っている状態でした。
術前診査では神経を全て取る可能性は低いと予想されましたが、一部切除する可能性があることを伝えた上で治療を行うこととしました。
- 費用(概算)
- 治療費の目安: 30万円(税込)費用は治療当時の料金となります
治療について
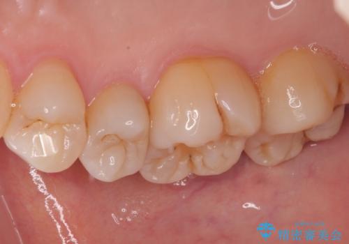
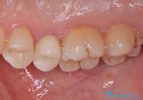
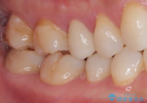
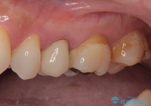
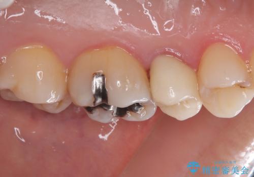
やはりむし歯は大きく、一部歯髄を切除することとなりましたが、その後は良好な経過をたどっています。
セラミック治療の注意事項(リスク・副作用など)
- 天然歯を削ります
- 硬い素材は天然歯を傷つけてしまう場合があります
- かみ合わせや歯ぎしりが強すぎる方はセラミックが割れてしまう可能性があります
- 自費診療(保険適用外治療)となります
当サイトの内容、テキスト、画像等の無断転載、複製、複写、盗用を固く禁じます。




















