症例詳細
Case detail
部分矯正で歯を正しい位置に移動しインプラント治療を行った症例
治療症例の内容
- 患者様
- 60代女性
- 治療期間
- 治療計画
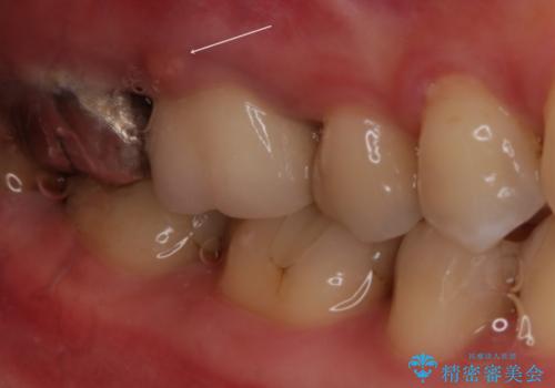
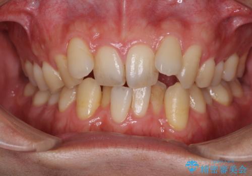
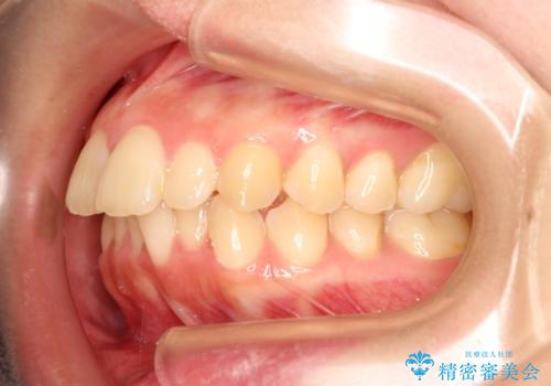
- 左上4番と左上6番が欠損しており、欠損部にはさまれた左上5番が後ろ側に倒れている状態で来院されました。
左上4番はインプラント、左上6番はブリッジにて治療することとなりましたが、左上5番が傾いているのでこのままではインプラント正しい位置に入れにくく、かぶせ物が正常な形態で装着できなくなり、ブリッジも装着が困難となります。
そこで、部分矯正をして左上5番を正しい位置に戻してからインプラント・ブリッジ治療をしていくこととなりました。
- 費用(概算)
- 約70万円費用は治療当時の料金となります
治療について
かぶせ物の計画を立てる際に、歯の傾きや位置を正しい位置に移動させてから、かぶせ物を装着したほうが審美性、機能性、清掃性において優れた治療が可能となることがあります。
セラミック治療の注意事項(リスク・副作用など)
- 天然歯を削ります
- 硬い素材は天然歯を傷つけてしまう場合があります
- かみ合わせや歯ぎしりが強すぎる方はセラミックが割れてしまう可能性があります
- 自費診療(保険適用外治療)となります
インプラント治療の注意事項(リスク・副作用など)
- 外科手術のため、術後に痛みや腫れ、違和感を伴います
- メンテナンスを怠ったり喫煙により、お口の中に大きな悪影響を及ぼすインプラント周囲炎等にかかる可能性があります
- 糖尿病、肝硬変、心臓病等の場合、インプラント治療ができない可能性があります
- 高血圧、貧血・不整脈等の場合、インプラント治療後に治癒不全を招く可能性があります
- 自費診療(保険適用外治療)となります
ワイヤー矯正の注意事項(リスク・副作用など)
- 治療中は違和感や痛みが起こることがあります
- 症状により、抜歯が必要な場合があります
- 治療中は歯磨きがしにくくなるため、虫歯や歯周病になりやすくなります
- 矯正治療後の保定が不十分だと後戻り(元の位置に戻ろうとする動き)をします
- 自費診療(保険適用外)となります
当サイトの内容、テキスト、画像等の無断転載、複製、複写、盗用を固く禁じます。















