症例詳細
Case detail
デコボコと口元の突出感を改善 抜歯矯正治療
治療症例の内容
- 診療科目
- 担当医
- 藤巻太一朗(ドクタープロフィール)
- 患者様
- 30代男性
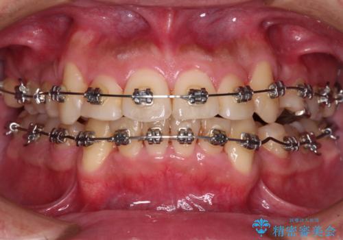
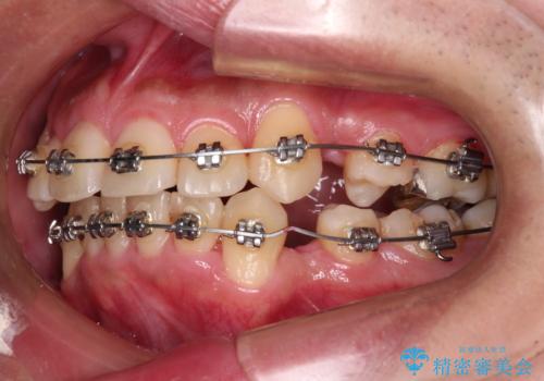
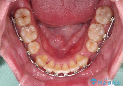
- 矯正装置
- メタルブラケット
- 治療期間
- 3年10ヶ月
- 治療回数
- 30回以上
- 治療計画
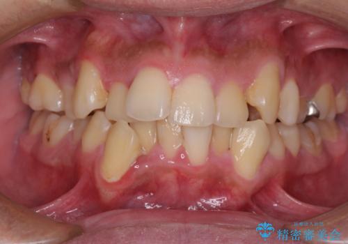
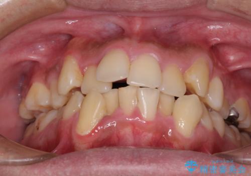
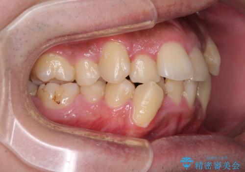
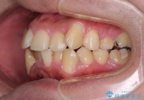
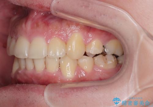
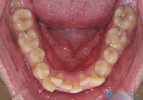
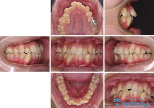
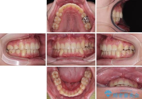
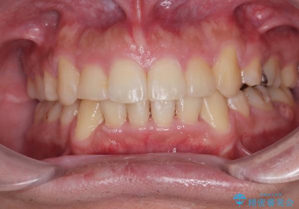
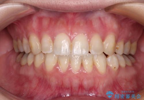
- 八重歯を気にして来院された患者様です。
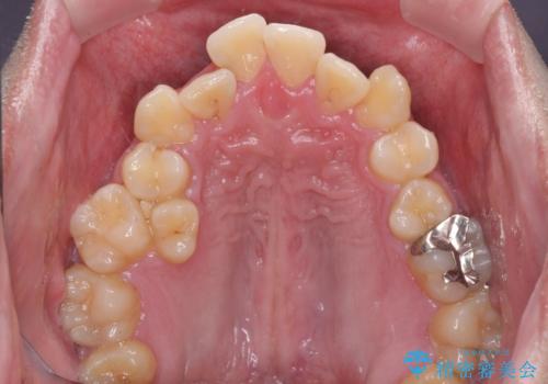
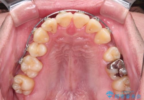
上下左右の犬歯が八重歯になっており、口元にもやや突出感があるため、上下左右の小臼歯4本を抜歯し、ワイヤー装置にて矯正治療を行うこととしました。
- 費用(概算)
- 治療費の目安: 95万円(税込)費用は治療当時の料金となります
治療について
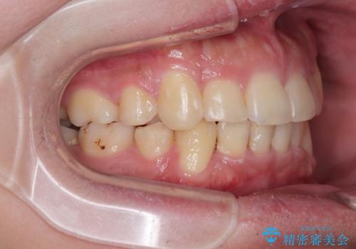
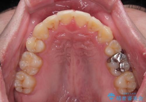
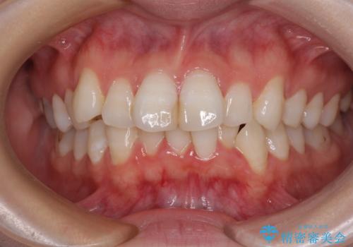
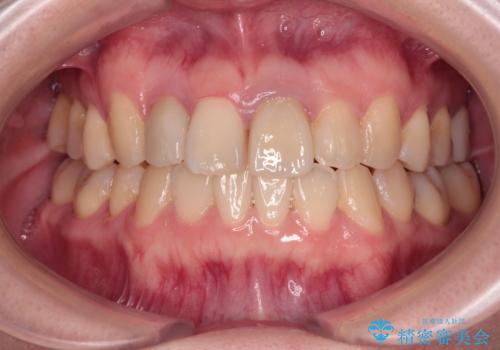
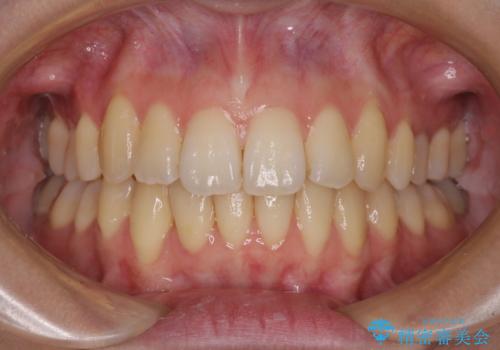
右上第一小臼歯は歯根癒着により移動せず、左上第二小臼歯は移動はするものの非常に動きが鈍かったため、抜歯したスペースを閉じるまでに非常に時間がかかってしまいました。
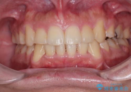
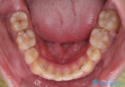
患者様には辛抱強く治療にお付き合いいただき、すっきりとした口元に仕上げることができました。
ワイヤー矯正の注意事項(リスク・副作用など)
- 治療中は違和感や痛みが起こることがあります
- 症状により、抜歯が必要な場合があります
- 治療中は歯磨きがしにくくなるため、虫歯や歯周病になりやすくなります
- 矯正治療後の保定が不十分だと後戻り(元の位置に戻ろうとする動き)をします
- 自費診療(保険適用外)となります
当サイトの内容、テキスト、画像等の無断転載、複製、複写、盗用を固く禁じます。


























