症例詳細
Case detail
前歯の痛みと変色を解消:抜髄後のオールセラミック治療
治療症例の内容
- 診療科目
- 治療カテゴリ
- 担当医
- 河口智英(ドクタープロフィール)
- 患者様
- 20代女性
- 治療期間
- 2ヶ月
- 治療回数
- 5-10回
- 治療計画
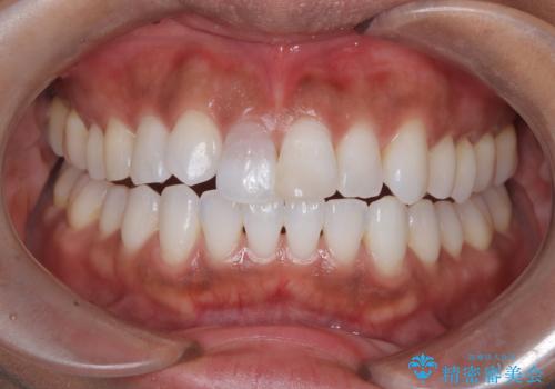
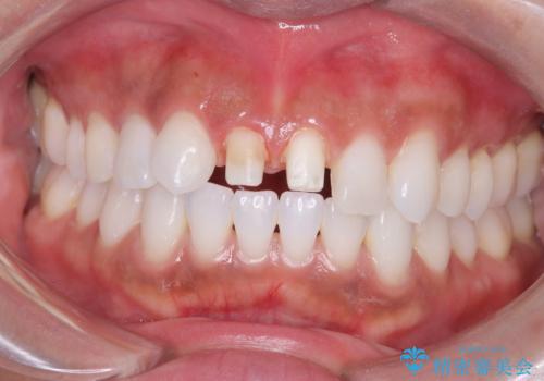
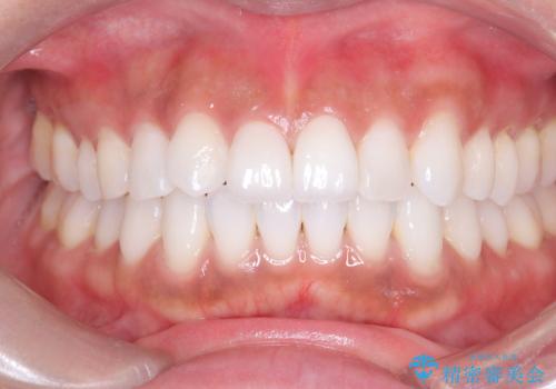
- 右上1番と左上1番の前歯が以前に外部からの衝撃を受け、その影響で最近になって痛みと変色が見られるようになりました。そこで、根管治療(抜髄)を行い、歯髄の感染を除去し、歯の内部を清掃しました。その後、オールセラミッククラウンを装着することで、機能性と審美性を回復しました。
- 費用(概算)
- 44万円費用は治療当時の料金となります
治療について
外傷を受けた後、しばらくしてから歯に変色や痛みが出ることがあります。これは、歯髄が損傷し炎症や感染が起こることや、血流が減少して壊死するためです。また、歯髄が死ぬことで色素が沈着し、変色が進行します。
セラミック治療の注意事項(リスク・副作用など)
- 天然歯を削ります
- 硬い素材は天然歯を傷つけてしまう場合があります
- かみ合わせや歯ぎしりが強すぎる方はセラミックが割れてしまう可能性があります
- 自費診療(保険適用外治療)となります
当サイトの内容、テキスト、画像等の無断転載、複製、複写、盗用を固く禁じます。











