症例詳細
Case detail
前歯の乱れをスッキリ解消!抜歯矯正で整えた美しい歯並び
治療症例の内容
- 診療科目
- 治療カテゴリ
- 担当医
- 河口智英(ドクタープロフィール)
- 患者様
- 20代女性
- 治療期間
- 2年
- 治療回数
- 10-30回
- 治療計画
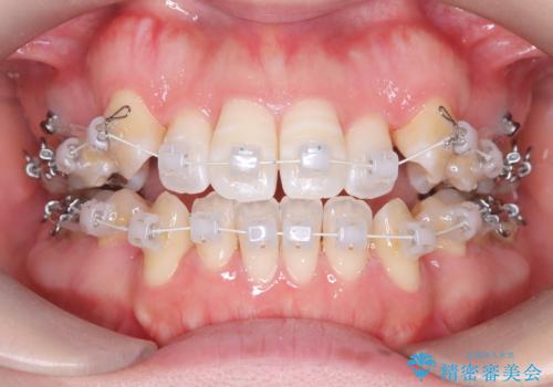
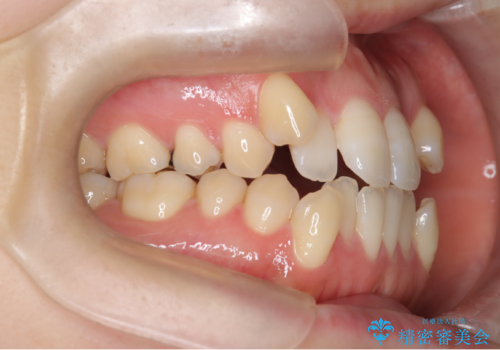
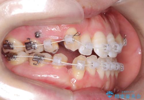
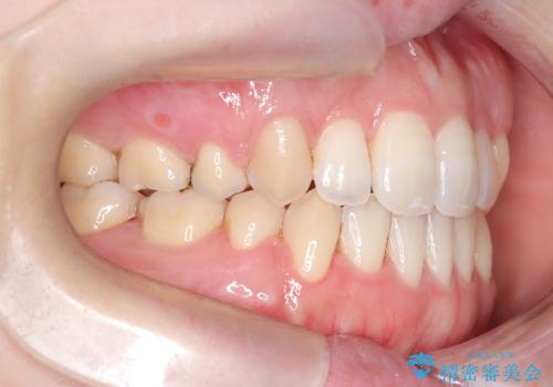
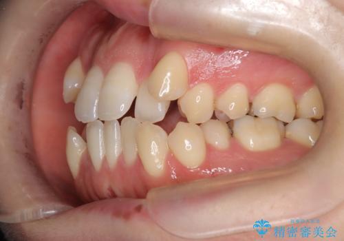
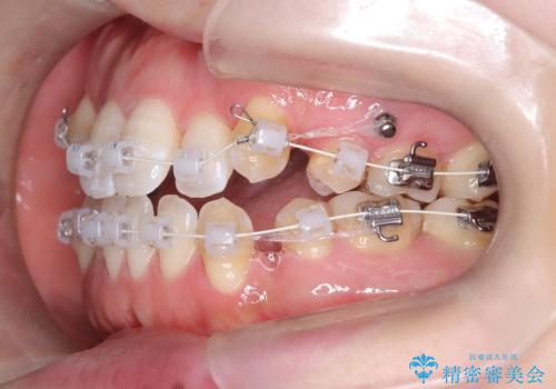
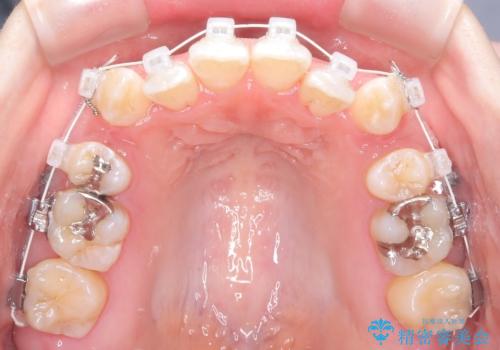
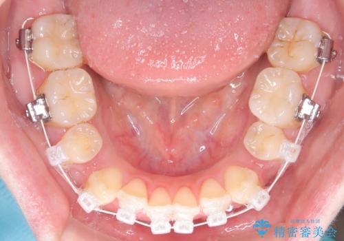
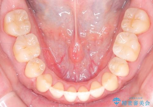
- 前歯のガタガタや八重歯の位置の乱れが気になっていた患者様に対して、ワイヤー矯正を行いました。矯正の過程で、スペースを確保するために上下左右の小臼歯を抜歯し、歯全体のバランスと機能性を考慮しながら理想的な歯列に仕上げました。
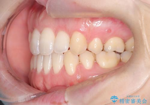
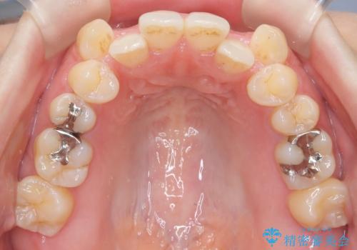
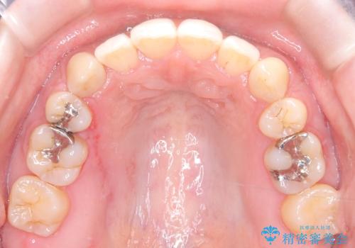
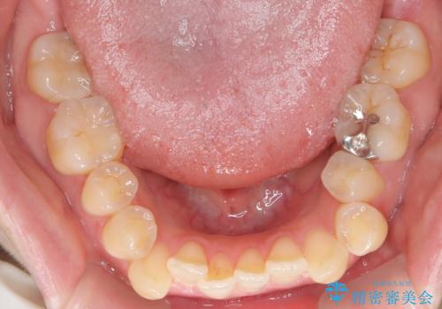
治療後は、前歯の位置や噛み合わせが整い、見た目も機能面も大きく改善されました。きれいな歯並びを得ることができ、患者様にも非常に満足していただけました。
- 費用(概算)
- 100万円費用は治療当時の料金となります
治療について
抜歯によって確保したスペースを活用し、効率的に歯列を整えました。前歯のガタガタと八重歯が解消され、自然で美しい仕上がりを実現しました。
ワイヤー矯正の注意事項(リスク・副作用など)
- 治療中は違和感や痛みが起こることがあります
- 症状により、抜歯が必要な場合があります
- 治療中は歯磨きがしにくくなるため、虫歯や歯周病になりやすくなります
- 矯正治療後の保定が不十分だと後戻り(元の位置に戻ろうとする動き)をします
- 自費診療(保険適用外)となります
当サイトの内容、テキスト、画像等の無断転載、複製、複写、盗用を固く禁じます。















