症例詳細
Case detail
反対咬合解消!インビザラインによる治療法
治療症例の内容
- 診療科目
- 治療カテゴリ
- 担当医
- 河口智英(ドクタープロフィール)
- 患者様
- 20代女性
- 治療期間
- 2年
- 治療回数
- 10-30回
- 治療計画
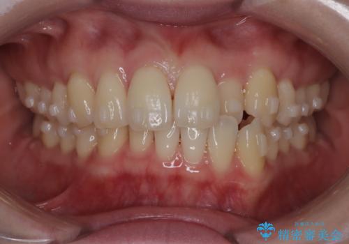
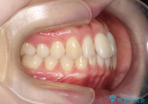
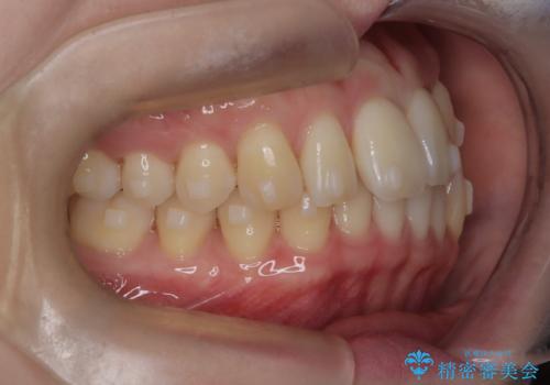
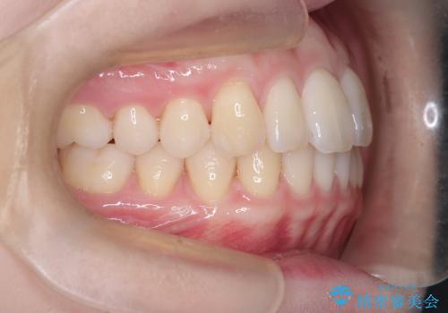
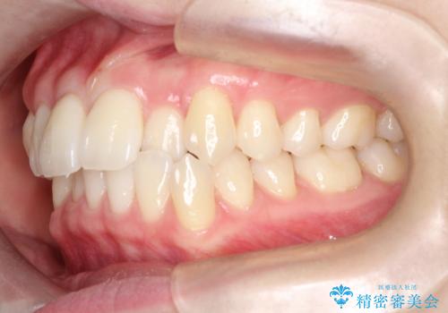
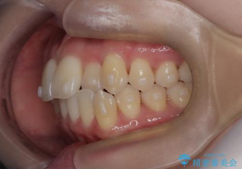
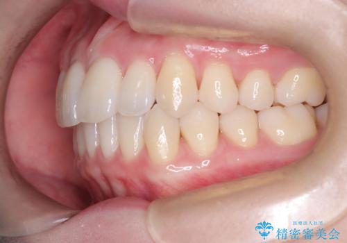
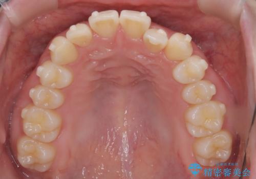
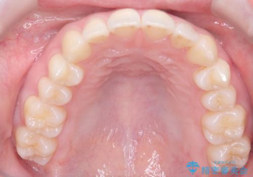
- 左上2の反対咬合(交叉咬合)をインビザラインを用いて治療しました。反対咬合は、歯列の不正咬合の一つであり、上の歯が下の歯よりも内側に位置する状態です。反対咬合は咀嚼や発音に影響を与えることがあります。
- 費用(概算)
- 85万円費用は治療当時の料金となります
治療について
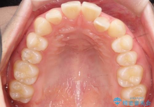
左上2の反対咬合をインビザラインで治療する際に、IPR(Interproximal Reduction)を行いました。 IPRとは、隣接する歯の間のエナメル質をわずかに削る手法で、歯の幅を減少させることによって歯列を整える技術です。
マウスピース矯正の注意事項(リスク・副作用など)
- 口腔内・歯並びの状態によっては対応できない場合があります
- マウスピース型矯正装置の長時間装着(1日20時間以上)が必須です
- 治療計画通りに進めるためには、患者様の意志が重要になります
- 矯正治療後の保定が不十分だと後戻り(元の位置に戻ろうとする動き)をします
- 薬機法対象外の矯正歯科装置のため医薬品副作用被害救済制度の対象外となる場合があります
- 自費診療(保険適用外)となります
当サイトの内容、テキスト、画像等の無断転載、複製、複写、盗用を固く禁じます。















