症例詳細
Case detail
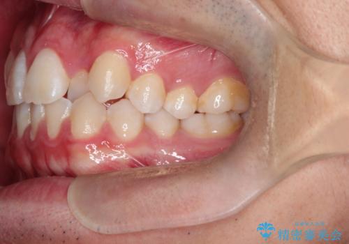
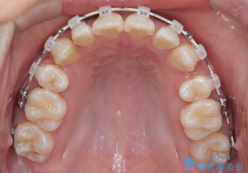
正中の改善と前歯の整列:抜歯を伴う矯正治療の症例
治療症例の内容
- 診療科目
- 治療カテゴリ
- 担当医
- 河口智英(ドクタープロフィール)
- 患者様
- 30代男性
- 治療期間
- 2年
- 治療回数
- 10-30回
- 治療計画
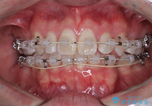
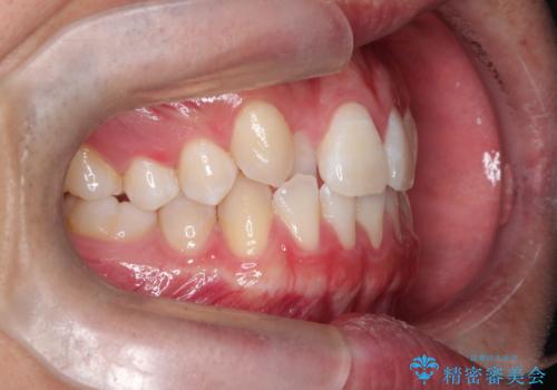
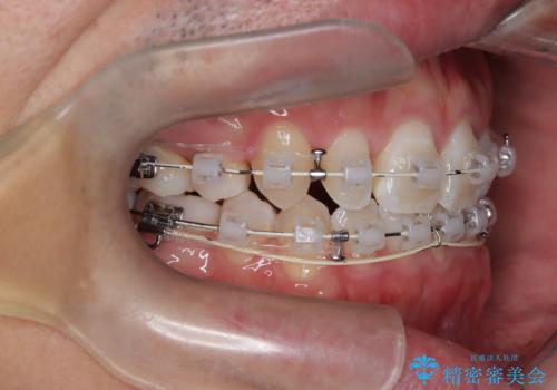
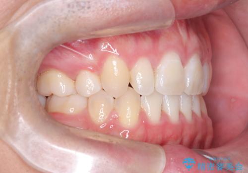
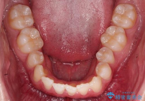
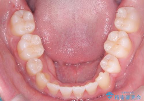
- 前歯のガタガタや正中の不整を改善するために、右上4、左上4、左下4を抜歯し、矯正治療を行いました。この治療により、見た目だけでなく、咬合のバランスも改善され、患者様の口腔内の健康が向上しました。
- 費用(概算)
- 100万円費用は治療当時の料金となります
治療について
審美ワイヤー装置は、見た目を重視した矯正治療において非常に有効な選択肢です。患者様のニーズに応じた治療が可能で、美しい歯並びを目指すことができます。
ワイヤー矯正の注意事項(リスク・副作用など)
- 治療中は違和感や痛みが起こることがあります
- 症状により、抜歯が必要な場合があります
- 治療中は歯磨きがしにくくなるため、虫歯や歯周病になりやすくなります
- 矯正治療後の保定が不十分だと後戻り(元の位置に戻ろうとする動き)をします
- 自費診療(保険適用外)となります
当サイトの内容、テキスト、画像等の無断転載、複製、複写、盗用を固く禁じます。















