症例詳細
Case detail
歯の変色を解消!根管治療とセラミック修復による審美的アプローチ
治療症例の内容
- 診療科目
- 治療カテゴリ
- 担当医
- 河口智英(ドクタープロフィール)
- 患者様
- 50代男性
- 治療期間
- 2ヶ月
- 治療回数
- 2-5回
- 治療計画
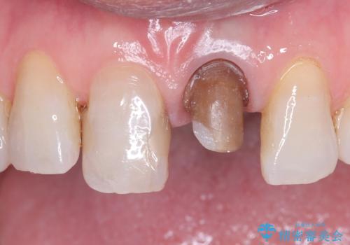
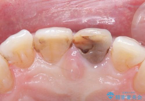
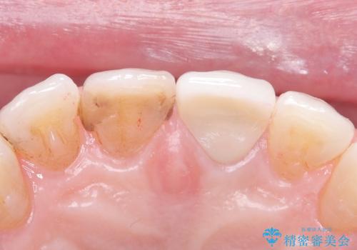
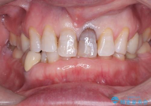
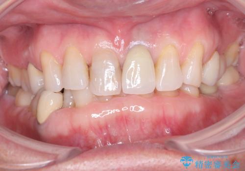
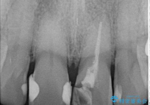
- 歯髄が死んで変色していた歯に対して、根管治療とオールセラミッククラウンでの修復を行いました。まず、根管治療で内部の感染を除去し、歯の強度を高めるためにファイバーコアを装着しました。その後、審美性と耐久性を考慮し、オールセラミッククラウンで覆うことで、自然な歯の色合いに近い美しい仕上がりを実現しました。
- 費用(概算)
- 28万円費用は治療当時の料金となります
治療について
歯髄が死んだ歯は通常の健康な歯に比べて透過性が低く、特有の暗い色調を帯びる傾向にあります。変色は時間とともに進行し、薄い茶色や灰色、黄色がかった色合いになることが多いです。このような変色は、審美的な面で気になる場合が多く、オールセラミッククラウンなどでの修復が行われることも一般的です。
セラミック治療の注意事項(リスク・副作用など)
- 天然歯を削ります
- 硬い素材は天然歯を傷つけてしまう場合があります
- かみ合わせや歯ぎしりが強すぎる方はセラミックが割れてしまう可能性があります
- 自費診療(保険適用外治療)となります
当サイトの内容、テキスト、画像等の無断転載、複製、複写、盗用を固く禁じます。












