症例詳細
Case detail
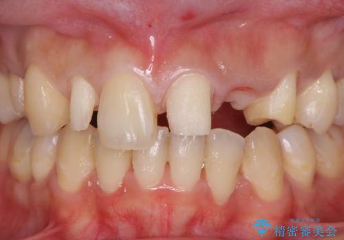
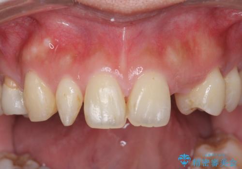
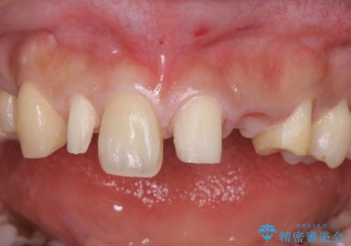
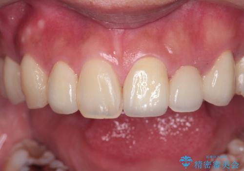
前歯の審美的なブリッジ (歯列矯正後)
治療症例の内容
- 診療科目
- 治療カテゴリ
- 担当医
- 井上季実子(ドクタープロフィール)
- 患者様
- 20代女性
- 治療期間
- 2ヶ月
- 治療回数
- 2-5回
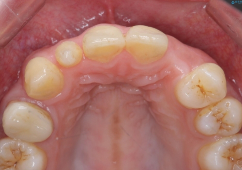
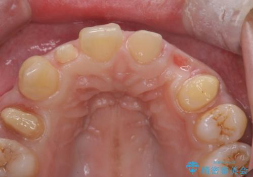
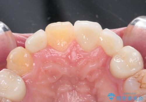
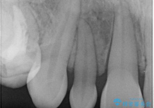
- 治療計画
- 歯列矯正後に前歯にブリッジを入れた方の経過です。
矯正治療の術前後の経過は以下をご覧ください。
https://seimitsushinbi.jp/case/134762/
- 費用(概算)
- 66万円 内訳:ジルコニアクラウンブリッジ(スペシャル) 15.4万円×4本、仮歯 1.1万円×4本費用は治療当時の料金となります
治療について
矯正治療で歯の位置を整えてからブリッジを入れると歯の幅を自由に設定できるため、左右対称にできます。結果矯正なしでいきなりセラミックにする場合と異なり、無理に角度を変えたりする必要がなく、神経をなるべく温存したまま審美的なセラミック治療が行えます。
セラミック治療の注意事項(リスク・副作用など)
- 天然歯を削ります
- 硬い素材は天然歯を傷つけてしまう場合があります
- かみ合わせや歯ぎしりが強すぎる方はセラミックが割れてしまう可能性があります
- 自費診療(保険適用外治療)となります
当サイトの内容、テキスト、画像等の無断転載、複製、複写、盗用を固く禁じます。













