症例詳細
Case detail
急速拡大装置 狭い歯列を拡大して短期間での矯正治療
治療症例の内容
- 診療科目
- 担当医
- 藤巻太一朗(ドクタープロフィール)
- 患者様
- 20代女性
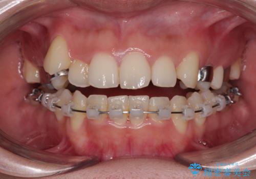
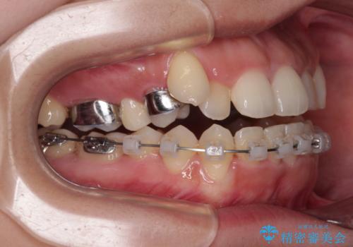
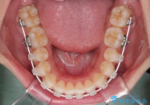
- 矯正装置
- クリアブラケット
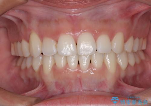
- 治療期間
- 1年3ヶ月
- 治療回数
- 10-30回
- 治療計画
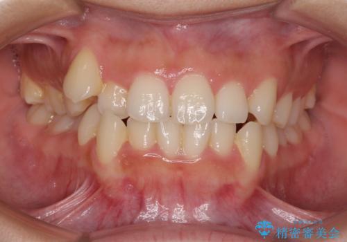
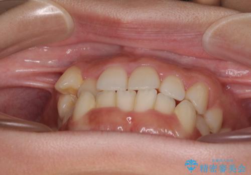
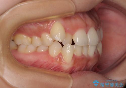
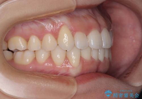
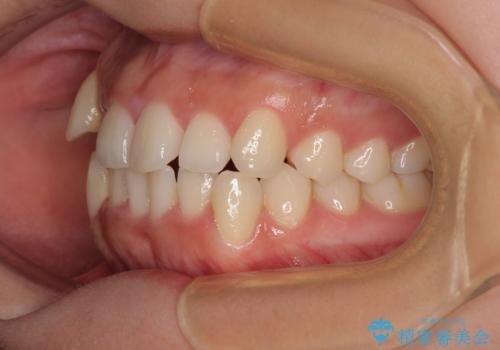
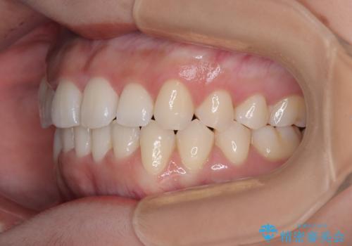
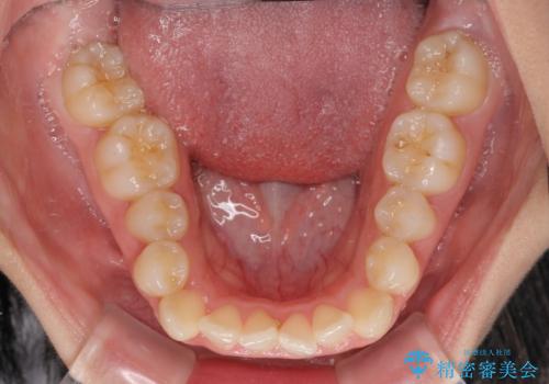
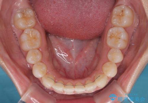
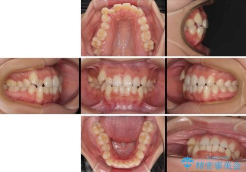
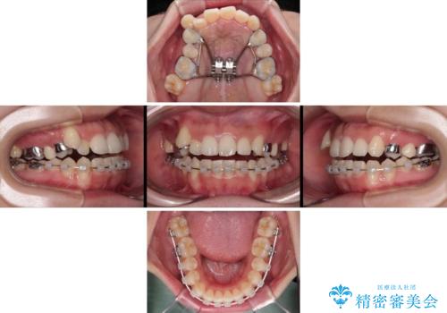
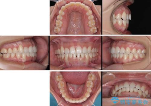
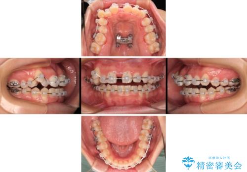
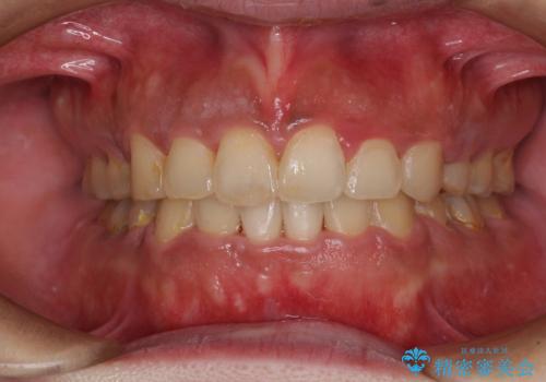
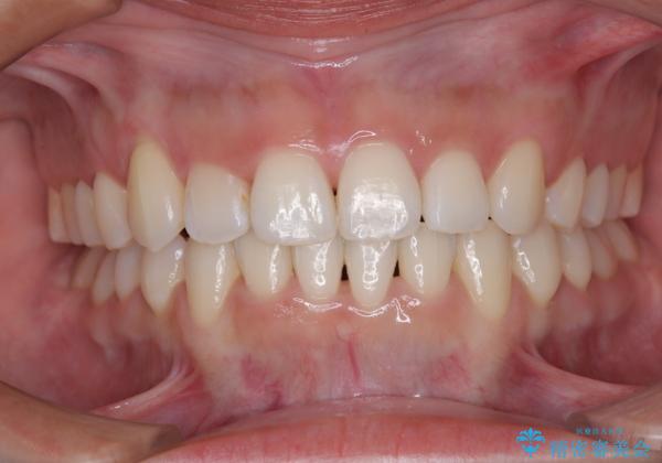
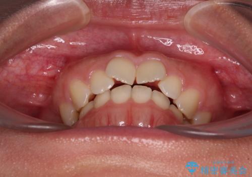
- 上下前歯のデコボコを気にして来院された患者様です。
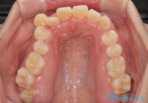
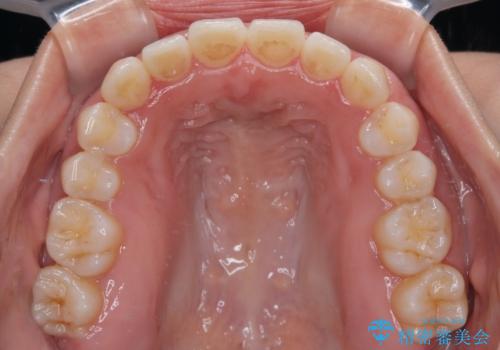
上顎歯列が下顎の歯列に対して狭小であり、一部下顎の奥歯が上顎よりも外側に位置している状態でした。
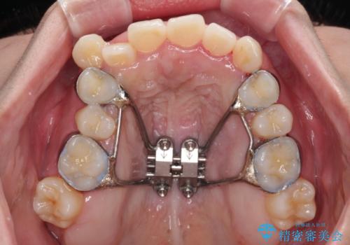
上顎の急速拡大装置を使用して上顎骨を側方に拡大することで上顎歯列を拡大し、下顎歯列も拡大できるようにすることで、歯列を整えることとしました。
- 費用(概算)
- 治療費の目安: 100万円(税込)費用は治療当時の料金となります
治療について
歯列矯正では基本的に骨格を改善することはできませんが、急速拡大装置(MARPE)を使用することで上顎骨を側方に拡大させることができ、咬合状態を大きく改善することができます。
ワイヤー矯正の注意事項(リスク・副作用など)
- 治療中は違和感や痛みが起こることがあります
- 症状により、抜歯が必要な場合があります
- 治療中は歯磨きがしにくくなるため、虫歯や歯周病になりやすくなります
- 矯正治療後の保定が不十分だと後戻り(元の位置に戻ろうとする動き)をします
- 自費診療(保険適用外)となります
当サイトの内容、テキスト、画像等の無断転載、複製、複写、盗用を固く禁じます。



























