症例詳細
Case detail
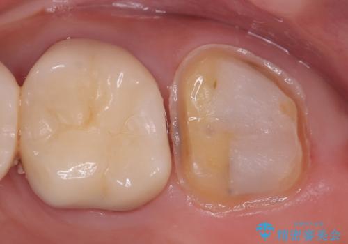
【オールセラミッククラウン】銀歯の下のむし歯
治療症例の内容
- 診療科目
- 治療カテゴリ
- 担当医
- 河口智英(ドクタープロフィール)
- 患者様
- 50代女性
- 治療期間
- 治療回数
- 2-5回
- 治療計画
- 左上7番の銀歯の下に虫歯が発見されたケースです。患者様は機能性と審美性の両方を考慮し、オールセラミッククラウン(スタンダード)での修復を選択されました。オールセラミッククラウンは、天然歯に近い透明感を持ち、金属を使用しないため金属アレルギーのリスクも軽減されます。治療後は、違和感なく快適に噛めるようになり、自然な仕上がりに患者様も大変満足されました。
- 費用(概算)
- 12万円費用は治療当時の料金となります
治療について
虫歯を取り除くと、歯の構造が弱くなり、破折のリスクが高まるため、修復には強度と耐久性のあるオールセラミッククラウン(スタンダード)を選択しました。
セラミック治療の注意事項(リスク・副作用など)
- 天然歯を削ります
- 硬い素材は天然歯を傷つけてしまう場合があります
- かみ合わせや歯ぎしりが強すぎる方はセラミックが割れてしまう可能性があります
- 自費診療(保険適用外治療)となります
当サイトの内容、テキスト、画像等の無断転載、複製、複写、盗用を固く禁じます。





