症例詳細
Case detail
銀歯の入った歯が欠けた 奥歯のオールセラミッククラウン補綴治療
治療症例の内容
- 診療科目
- 治療カテゴリ
- 担当医
- 藤巻太一朗(ドクタープロフィール)
- 患者様
- 40代女性
- 治療期間
- 1ヶ月
- 治療回数
- 2-5回
- 治療計画
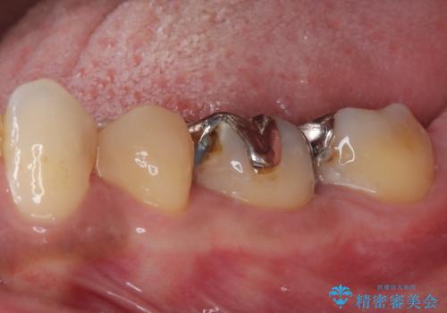
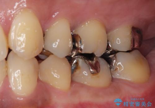
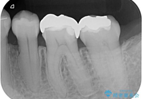
- 銀歯の周りの歯が欠けて物が挟まるとのことで来院された患者様です。
咬合面に銀歯の占める割合が大きく、銀歯と同じインレーによる修復治療は咬合力に負けて再び破折リスクが高いため、オールセラミッククラウンにて補綴治療を行うこととしました。
- 費用(概算)
- 治療費の目安: 14万円(税込)費用は治療当時の料金となります
治療について
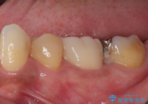
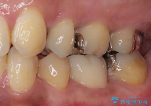
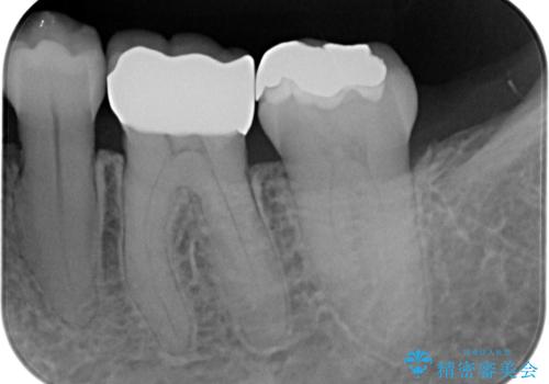
むし歯はそれほど大きくなく、仮歯やセラミッククラウンを装着した後に痛みを感じることはありませんでした。
セラミック治療の注意事項(リスク・副作用など)
- 天然歯を削ります
- 硬い素材は天然歯を傷つけてしまう場合があります
- かみ合わせや歯ぎしりが強すぎる方はセラミックが割れてしまう可能性があります
- 自費診療(保険適用外治療)となります
当サイトの内容、テキスト、画像等の無断転載、複製、複写、盗用を固く禁じます。










