症例詳細
Case detail
保険診療の黄ばんできた前歯をオールセラミッククラウンで自然な歯に
治療症例の内容
- 診療科目
- 担当医
- 藤巻太一朗(ドクタープロフィール)
- 患者様
- 30代女性
- 治療期間
- 2ヶ月
- 治療回数
- 2-5回
- 治療計画
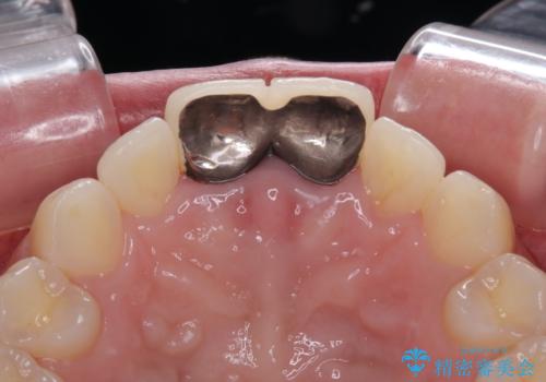
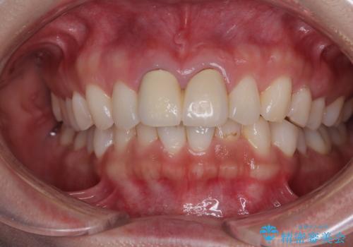
- 保険診療で装着した前歯の色調と厚みを気にして来院された患者様です。
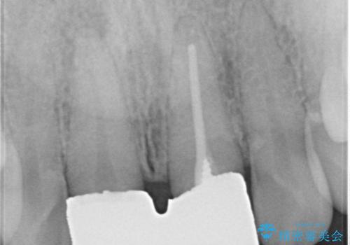
レントゲン写真より、右側の前歯は神経が失活している可能性があり、クラウン除去後に診察を行ったところ、やはり失活していました。
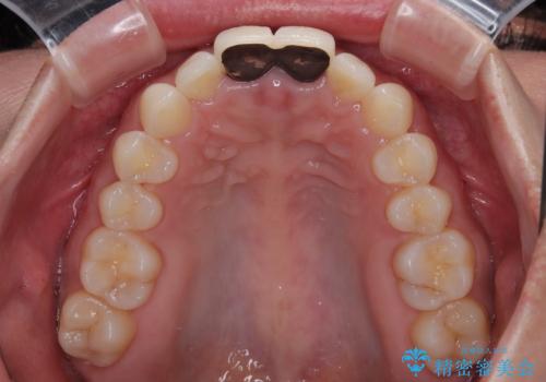
根管治療を行った後に、両歯ともに土台を植立し、オールセラミッククラウンにて補綴治療を行うこととしました。
- 費用(概算)
- 治療費の目安: 38万円(税込)費用は治療当時の料金となります
治療について
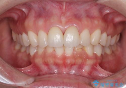
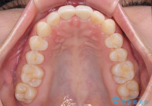
黄ばみや厚みが改善され、まるで本物の歯のように調和した口元となりました。
セラミック治療の注意事項(リスク・副作用など)
- 天然歯を削ります
- 硬い素材は天然歯を傷つけてしまう場合があります
- かみ合わせや歯ぎしりが強すぎる方はセラミックが割れてしまう可能性があります
- 自費診療(保険適用外治療)となります
根管治療の注意事項(リスク・副作用など)
- 根管治療により類似の全ての症例の問題が解決するわけではなく、症例はあくまでも一例です
- 根管治療により痛みや腫れがひかない事や、術後に痛みや腫れが生じる事、治療によるファイル破折やパーフォレーションなどの偶発症、術後の歯根破折を生じる可能性もあります
- 自費診療(保険適用外)となります
当サイトの内容、テキスト、画像等の無断転載、複製、複写、盗用を固く禁じます。










