症例詳細
Case detail
つぎはぎだらけの前歯を周囲と調和させたい オールセラミッククラウン補綴治療
治療症例の内容
- 診療科目
- 治療カテゴリ
- 担当医
- 藤巻太一朗(ドクタープロフィール)
- 患者様
- 30代男性
- 治療期間
- 2ヶ月
- 治療回数
- 2-5回
- 治療計画
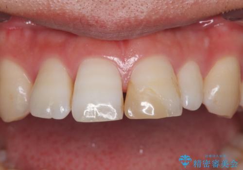
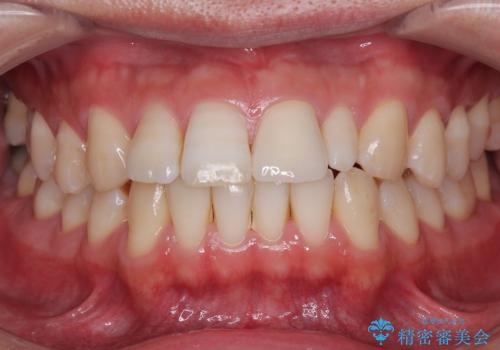
- 隙間を埋めた材料の変色や形を気にして来院された患者様です。
矯正治療などを含めて治療方法を相談した結果、当該歯をオールセラミッククラウンにて補綴治療を行うこととしました。
- 費用(概算)
- 治療費の目安: 14万円(税込)費用は治療当時の料金となります
治療について
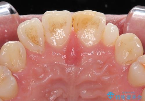
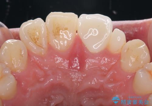
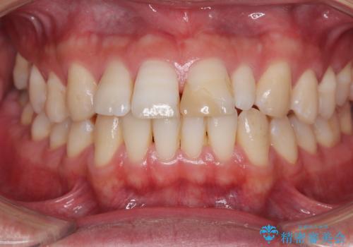
前歯の単独歯の補綴治療であったので、オーダーメイドタイプをおすすめしましたが、今回は既製タイプにて製作を進めました。
既製タイプでしたが、違和感のない仕上がりとなりました。
セラミック治療の注意事項(リスク・副作用など)
- 天然歯を削ります
- 硬い素材は天然歯を傷つけてしまう場合があります
- かみ合わせや歯ぎしりが強すぎる方はセラミックが割れてしまう可能性があります
- 自費診療(保険適用外治療)となります
当サイトの内容、テキスト、画像等の無断転載、複製、複写、盗用を固く禁じます。












