症例詳細
Case detail
矯正治療中の仮歯を治したい オールセラミックブリッジ補綴治療
治療症例の内容
- 診療科目
- 治療カテゴリ
- 担当医
- 藤巻太一朗(ドクタープロフィール)
- 患者様
- 20代女性
- 治療期間
- 2ヶ月
- 治療回数
- 2-5回
- 治療計画
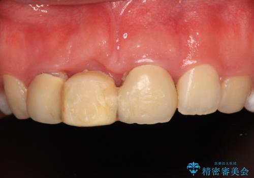
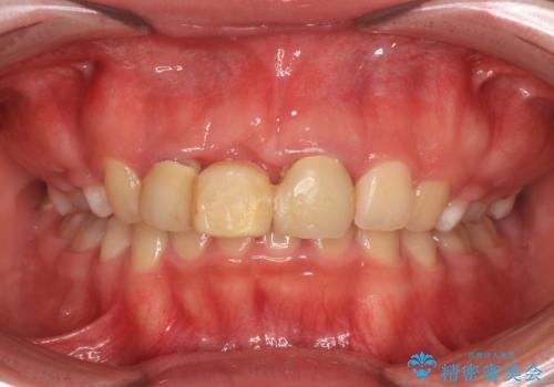
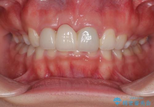
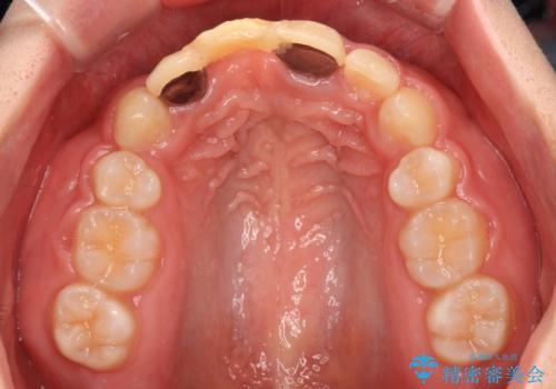
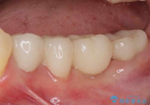
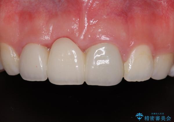
- 矯正治療中に装着していた仮歯を綺麗にしたいとのことで来院された患者様です。
小学生の頃に歯をぶつけて抜歯となりブリッジを装着したそうですが、その後矯正治療を行うに当たりブリッジを切断したとのことでした。
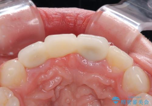
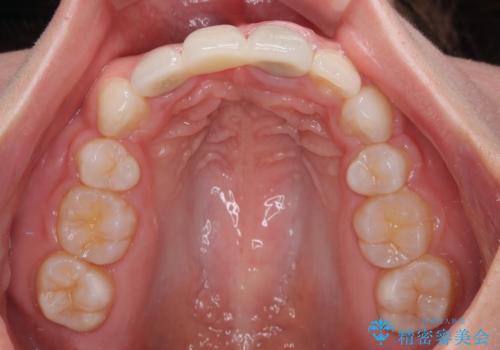
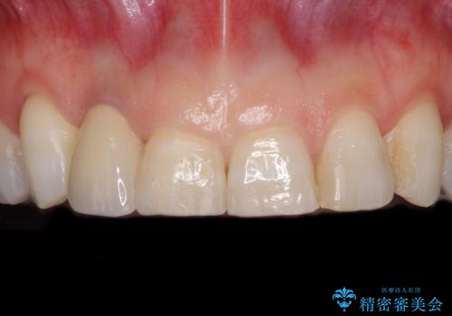
残っている歯根の状態はあまり良くなく、長期的な予後を考えると抜歯を検討するべきでしたが、20代前半という年齢を考え、オールセラミックブリッジにて補綴治療を行うこととしました。
- 費用(概算)
- 治療費の目安: 45万円(税込)費用は治療当時の料金となります
治療について
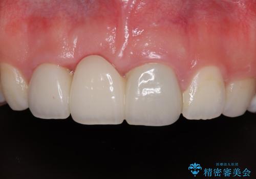
歯肉ラインを整えるために歯肉移植術を行うか悩んでいましたが、行わないという判断をされたため、やや不揃いの歯肉ラインとなりました。
セラミック治療の注意事項(リスク・副作用など)
- 天然歯を削ります
- 硬い素材は天然歯を傷つけてしまう場合があります
- かみ合わせや歯ぎしりが強すぎる方はセラミックが割れてしまう可能性があります
- 自費診療(保険適用外治療)となります
当サイトの内容、テキスト、画像等の無断転載、複製、複写、盗用を固く禁じます。










