症例詳細
Case detail
飛び出した上顎前歯 抜歯矯正で横顔の印象を改善
治療症例の内容
- 診療科目
- 担当医
- 藤巻太一朗(ドクタープロフィール)
- 患者様
- 20代女性
- 矯正装置
- 審美装置
- 治療期間
- 2年9ヶ月
- 治療回数
- 30回以上
- 治療計画
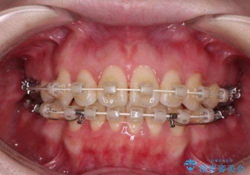
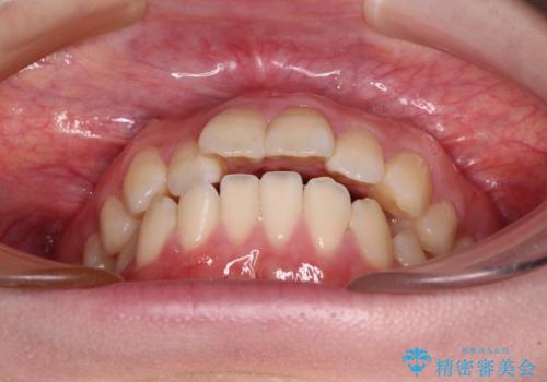
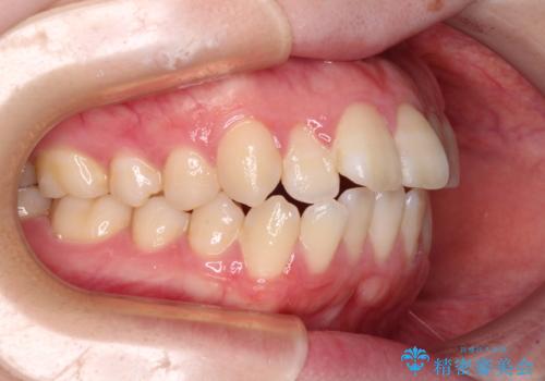
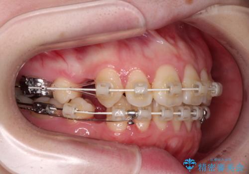
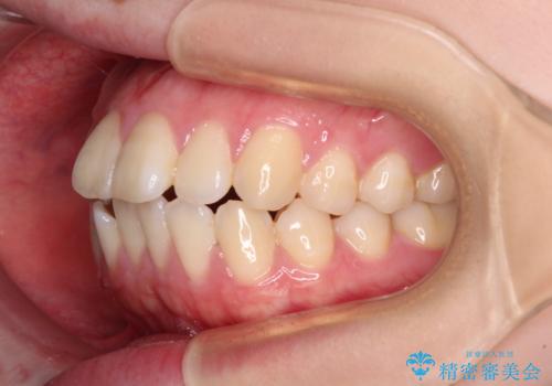
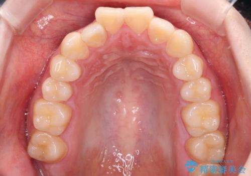
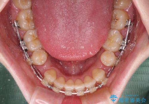
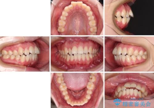
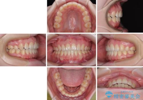
- 上顎前歯が前方に飛び出していることを気にして来院された患者様です。
強い舌の突出癖により、上下前歯が前方に飛び出しており、特に上顎前歯は下顎よりも更に前方に位置している状態でした。
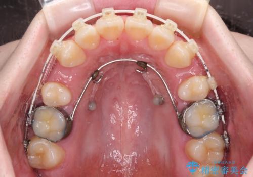
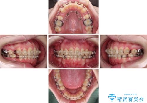
上顎前歯をしっかりと後方に移動させるため、口蓋側にアンカースクリューと補助装置を併用し、上下左右の第一小臼歯4本を抜歯し、ワイヤー装置にて矯正治療を行うこととしました。
また、舌のトレーニングをしっかりと行うことで、突出癖改善を試みることとしました。
- 費用(概算)
- 治療費の目安: 115万円(税込)費用は治療当時の料金となります
治療について
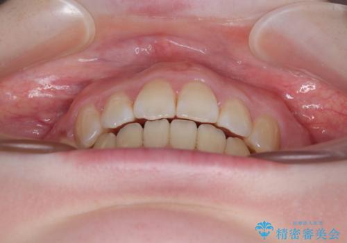
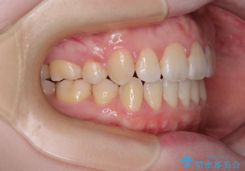
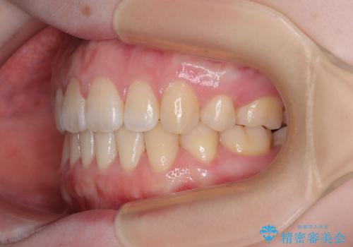
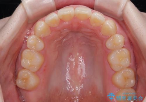
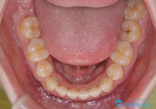
口元の突出感が改善されてことで、下唇に引っかかっていた上顎前歯も気にならなくなりました。
ワイヤー矯正の注意事項(リスク・副作用など)
- 治療中は違和感や痛みが起こることがあります
- 症状により、抜歯が必要な場合があります
- 治療中は歯磨きがしにくくなるため、虫歯や歯周病になりやすくなります
- 矯正治療後の保定が不十分だと後戻り(元の位置に戻ろうとする動き)をします
- 自費診療(保険適用外)となります
当サイトの内容、テキスト、画像等の無断転載、複製、複写、盗用を固く禁じます。


























