症例詳細
Case detail
銀歯をやり替えたい。インプラントとセラミックによる治療
治療症例の内容
- 担当医
- 齋藤佑磨(ドクタープロフィール)
- 患者様
- 20代女性
- 治療期間
- 6ヶ月
- 治療回数
- 5-10回
- 治療計画
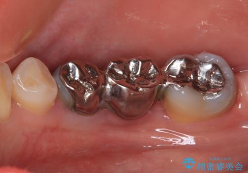
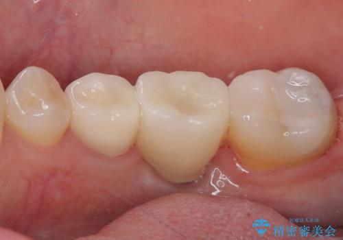
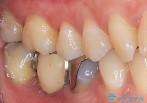
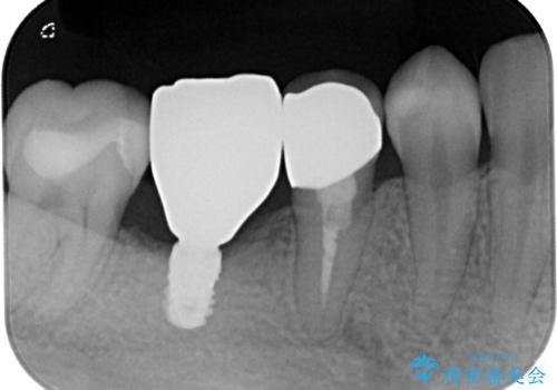
- インレーブリッジをインプラントにやり替えて銀歯を白くしたいとのことで来院された患者様です。
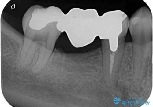
既に抜歯をして歯のない箇所にはインプラント治療をし、ブリッジの土台となっている歯のうち、手前側の小臼歯は既に根管治療をされている歯なのでオールセラミッククラウンへのやり替え、奥側の大臼歯はセラミックインレーへのやり替えをしていくこととしました。
根管治療のやり直しは希望されなかったため、土台の部分からのやり替えです。
- 費用(概算)
- 66万円(税込)費用は治療当時の料金となります
治療について
患者様の希望、ブリッジの土台となっている歯の状態、インプラントとブリッジの比較などを総合的に判断して、今回のケースではインプラント治療を選択しました。
セラミック治療の注意事項(リスク・副作用など)
- 天然歯を削ります
- 硬い素材は天然歯を傷つけてしまう場合があります
- かみ合わせや歯ぎしりが強すぎる方はセラミックが割れてしまう可能性があります
- 自費診療(保険適用外治療)となります
インプラント治療の注意事項(リスク・副作用など)
- 外科手術のため、術後に痛みや腫れ、違和感を伴います
- メンテナンスを怠ったり喫煙により、お口の中に大きな悪影響を及ぼすインプラント周囲炎等にかかる可能性があります
- 糖尿病、肝硬変、心臓病等の場合、インプラント治療ができない可能性があります
- 高血圧、貧血・不整脈等の場合、インプラント治療後に治癒不全を招く可能性があります
- 自費診療(保険適用外治療)となります
外科処置の注意事項(リスク・副作用など)
- 外科手術のため、術後に出血、痛みや腫れ、違和感を伴います
- 口腔内の状態によっては適応できないことがあります
当サイトの内容、テキスト、画像等の無断転載、複製、複写、盗用を固く禁じます。














