症例詳細
Case detail
食事中に歯が欠けたので治したい。オールセラミッククラウンによる補綴
治療症例の内容
- 診療科目
- 治療カテゴリ
- 担当医
- 齋藤佑磨(ドクタープロフィール)
- 患者様
- 50代男性
- 治療期間
- 1ヶ月
- 治療回数
- 2-5回
- 治療計画
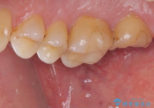
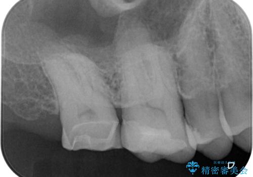
- 食事の時に奥歯が欠けて冷たいものがしみることを主訴として来院された患者様です。
虫歯が詰め物の下で広がっていたこと、もともとの詰め物が大きく健全な歯の量が少なく噛む面に強い力がかかったことが原因で歯が欠けてしまった事が考えられます。
精査の結果、歯肉縁下に破折は認めれられませんでした。
部分的な詰め物では再び割れてしまう可能性が高いため、虫歯を除去し、オールセラミッククラウンにて補綴することとしました。
- 費用(概算)
- 13万円(税込)費用は治療当時の料金となります
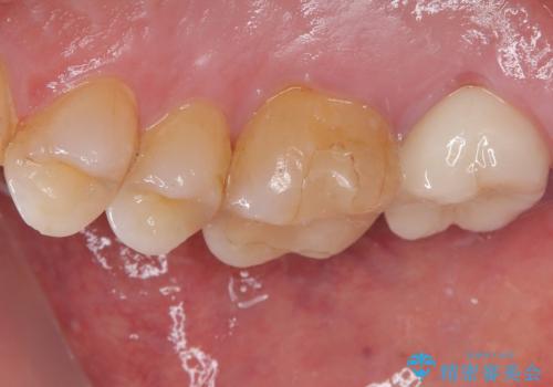
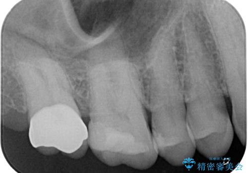
治療について
歯が欠けてしまってから数日で来院していただいたので、虫歯が大きく進行することなく、歯の神経の治療などせず、必要最小限の治療で済みました。
セラミック治療の注意事項(リスク・副作用など)
- 天然歯を削ります
- 硬い素材は天然歯を傷つけてしまう場合があります
- かみ合わせや歯ぎしりが強すぎる方はセラミックが割れてしまう可能性があります
- 自費診療(保険適用外治療)となります
当サイトの内容、テキスト、画像等の無断転載、複製、複写、盗用を固く禁じます。






