症例詳細
Case detail
前歯の黄色味が気になる オールセラミッククラウン(スペシャル)
治療症例の内容
- 診療科目
- 治療カテゴリ
- 担当医
- 有澤哲郎(ドクタープロフィール)
- 患者様
- 40代女性
- 治療期間
- 3ヶ月
- 治療回数
- 2-5回
- 治療計画
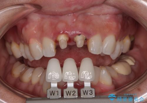
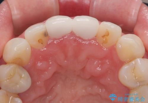
- 前歯の色が黄色くなって気になるとのことで来院された患者様です。
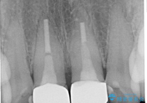
約20年前に前歯の根管治療を行い、保険の被せものを入れたとのことです。
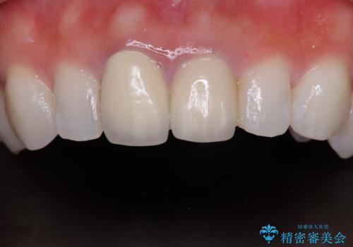
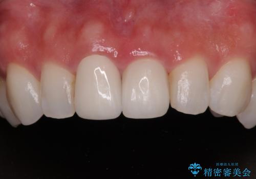
拡大鏡視野下で、被せもの、金属の土台、虫歯を除去し、ファイバーの土台(ファイバーコア)をたてて、オールセラミッククラウンに適した形に整えました。
患者様のご希望で周りの歯も白くしたいとのことでオフィスホワイトニング、ホームホワイトニングで色の調整を行い、色味が落ち着いてから、歯と歯茎の間に圧排糸と呼ばれる糸を入れてシリコーン印象を行いました。
根管治療をご提案しましたが、患者様のご希望で行っておりません。
- 費用(概算)
- 42万円(税込み、ホワイトニング込み)費用は治療当時の料金となります
治療について
見た目と機能面ともに満足していただきました。
今後はメンテナンスで通ってもらいながら、ご希望であればホームホワイトニング、オフィスホワイトニングを行っていく予定です。
セラミック治療の注意事項(リスク・副作用など)
- 天然歯を削ります
- 硬い素材は天然歯を傷つけてしまう場合があります
- かみ合わせや歯ぎしりが強すぎる方はセラミックが割れてしまう可能性があります
- 自費診療(保険適用外治療)となります
その他の注意事項(リスク・副作用など)
- 担当歯科医師、歯科衛生士又は医院スタッフから受けた説明・注意事項をよくご確認ください
- 医療を提供するに当たり、適切な説明を行い、患者様の十分な理解を得るよう努めております
当サイトの内容、テキスト、画像等の無断転載、複製、複写、盗用を固く禁じます。









