症例詳細
Case detail
親知らずに影響で大きなむし歯に セラミッククラウンによるむし歯治療
治療症例の内容
- 診療科目
- 治療カテゴリ
- 担当医
- 藤巻太一朗(ドクタープロフィール)
- 患者様
- 40代女性
- 治療期間
- 5ヶ月
- 治療回数
- 5-10回
- 治療計画
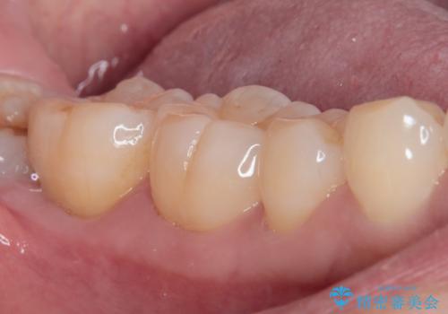
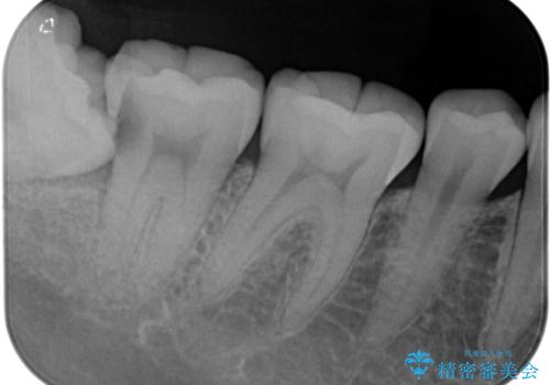
- 親知らず周りに痛みを感じるとのことで来院された患者様です。
レントゲン写真より、埋もれた親知らずの影響で手前の奥歯の歯根近くのところに大きなむし歯があることが分かりました。
まずは親知らずを抜歯し、その後手前の歯の処置を行うこととしました。
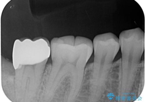
手前の歯については、痛みなどの症状は認められなかったため、神経を取り除く必要はないと判断されましたが、むし歯の場所が深いため、親知らず抜歯後に歯肉の状態が改善してからオールセラミッククラウンにて補綴治療を行うこととしました。
- 費用(概算)
- 治療費の目安: 17万円(税込)費用は治療当時の料金となります
治療について
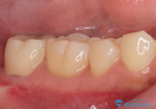
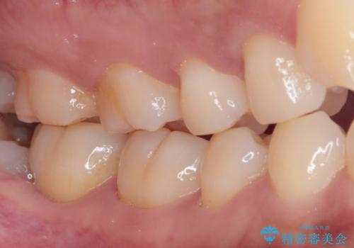
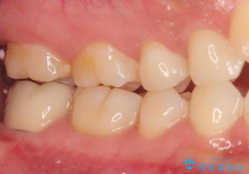
親知らず抜歯の症状が治まってから手前の歯の状態を確認しましたが、特に症状は認められませんでした。
それでも生活歯髄療法になる可能性を考慮して、ラバーダム装着下にてむし歯を除去し、神経組織が露出寸前であったためMTAセメントによる歯随保護を行いました。
処置後神経の反応が正常であることを確認して、オールセラミッククラウンを装着しました。
セラミック治療の注意事項(リスク・副作用など)
- 天然歯を削ります
- 硬い素材は天然歯を傷つけてしまう場合があります
- かみ合わせや歯ぎしりが強すぎる方はセラミックが割れてしまう可能性があります
- 自費診療(保険適用外治療)となります
当サイトの内容、テキスト、画像等の無断転載、複製、複写、盗用を固く禁じます。









