症例詳細
Case detail
突出した口元 ワイヤー装置で横顔の印象を改善
治療症例の内容
- 診療科目
- 治療カテゴリ
- 担当医
- 藤巻太一朗(ドクタープロフィール)
- 患者様
- 20代男性
- 矯正装置
- メタルブラケット
- 治療期間
- 3年6ヶ月
- 治療回数
- 30回以上
- 治療計画
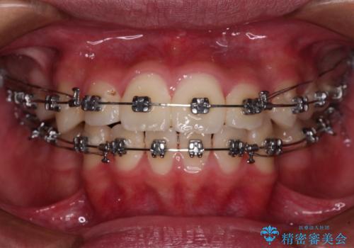
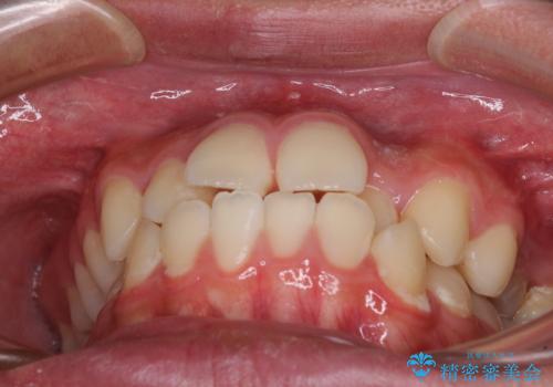
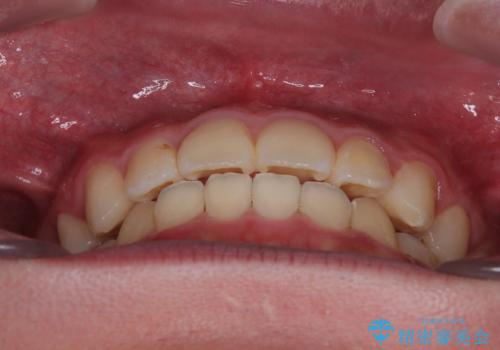
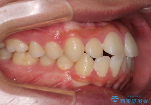
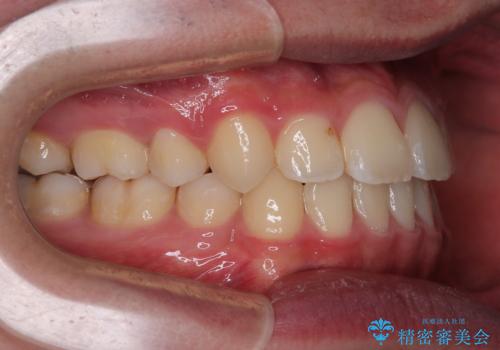
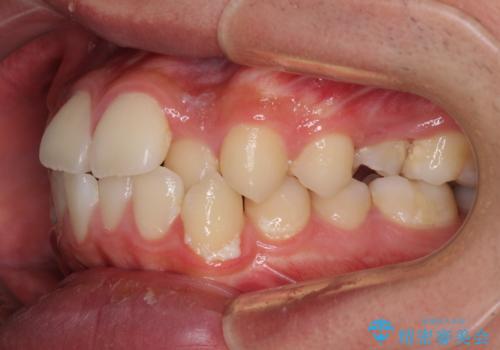
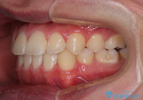
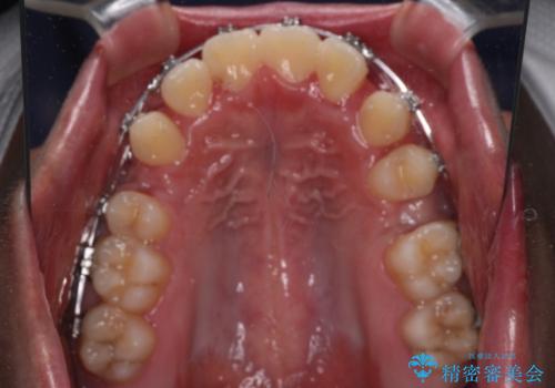
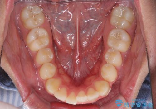
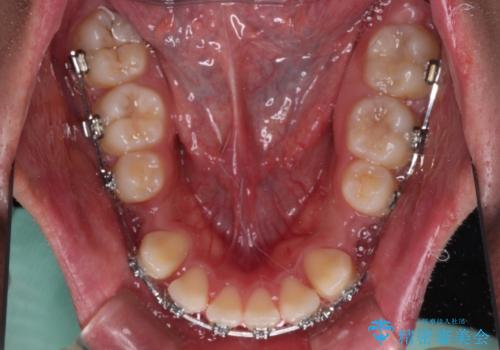
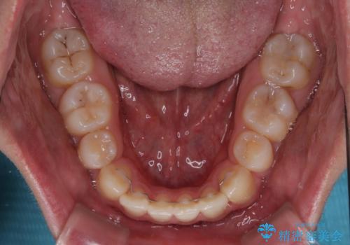
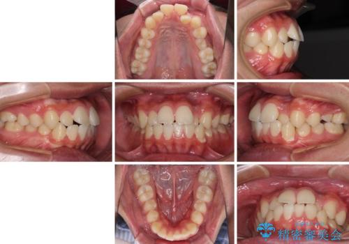
- 前歯のデコボコと口元の突出感を気にして来院された患者様です。
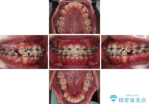
上下前歯がくちばしのように突出していたため、上下左右の第一小臼歯4本を抜歯し、ワイヤー装置にて矯正治療を行うこととしました。
左上は第二小臼歯が90度捻れており、状態が良くない歯であったため、左のみ第二小臼歯を抜歯することとしました。
第二小臼歯抜歯により治療期間が長くなることを了承いただき、治療を開始しました。
- 費用(概算)
- 治療費の目安: 90万円(税込)費用は治療当時の料金となります
治療について
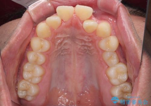
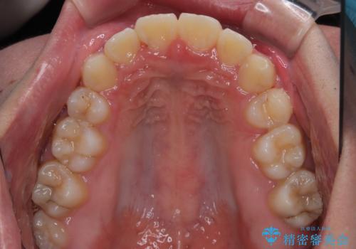
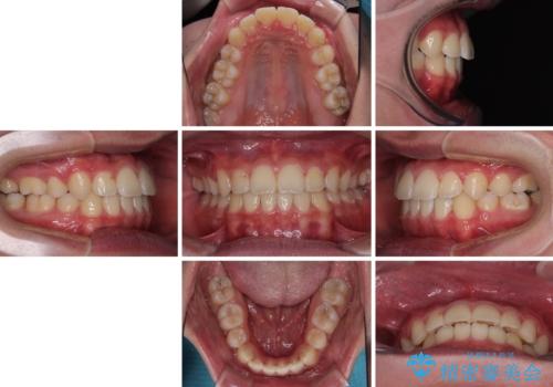
上顎骨に対して下顎骨がやや前方位に位置しているため、下顎前歯をあまり内側に移動させることができず、口元の突出感改善は期待以上にはならないと予測しておりましたが、満足いくの引っ込み具合となりました。
ワイヤー矯正の注意事項(リスク・副作用など)
- 治療中は違和感や痛みが起こることがあります
- 症状により、抜歯が必要な場合があります
- 治療中は歯磨きがしにくくなるため、虫歯や歯周病になりやすくなります
- 矯正治療後の保定が不十分だと後戻り(元の位置に戻ろうとする動き)をします
- 自費診療(保険適用外)となります
当サイトの内容、テキスト、画像等の無断転載、複製、複写、盗用を固く禁じます。


























