症例詳細
Case detail
インビザラインが続けられない ワイヤー矯正に切り替えてデコボコを改善
治療症例の内容
- 診療科目
- 治療カテゴリ
- 担当医
- 藤巻太一朗(ドクタープロフィール)
- 患者様
- 20代女性
- 矯正装置
- メタルブラケット
- 治療期間
- 1年7ヶ月
- 治療回数
- 10-30回
- 治療計画
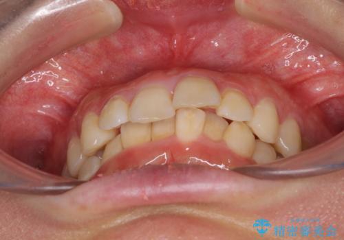
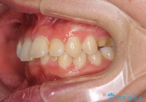
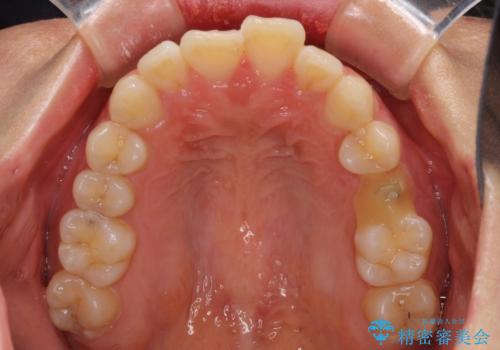
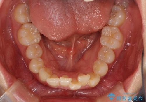
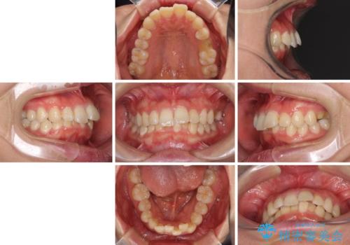
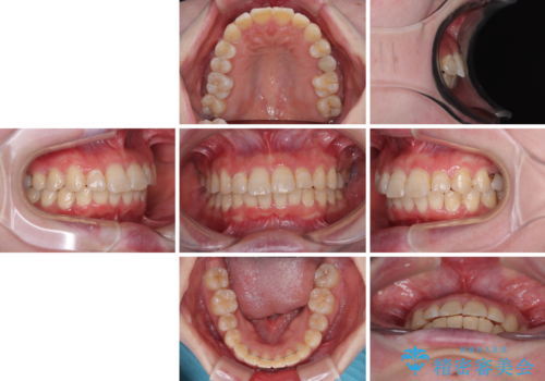
- デコボコの歯列が気になるとことで来院された患者様です。
歯列不正としては軽度であったため、インビザラインでもワイヤー装置でも対応可能でしたが、ご本人の希望によりインビザラインによる矯正治療を行うこととしました。
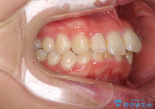
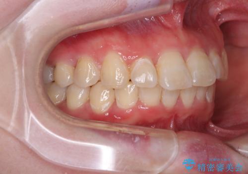
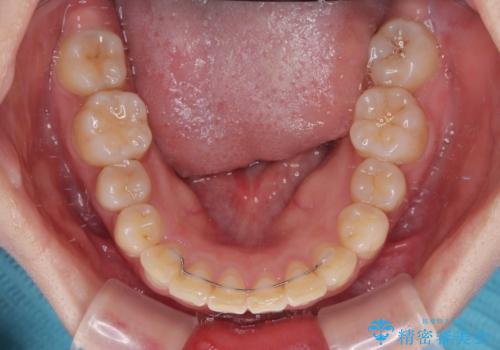
マウスピース矯正は、自己管理が非常に重要と事前にお伝えしておりましたが、毎日のマウスピース装着が遵守できず、ワイヤー装置での矯正治療へ変更することとなりました。
- 費用(概算)
- 治療費の目安: 120万円(税込)費用は治療当時の料金となります
治療について
インビザラインからワイヤー装置へ変更すると、費用が追加となるため、ワイヤー装置は目立つものの費用を抑えることのできるメタルブラケットを使用しました。
ワイヤー矯正の注意事項(リスク・副作用など)
- 治療中は違和感や痛みが起こることがあります
- 症状により、抜歯が必要な場合があります
- 治療中は歯磨きがしにくくなるため、虫歯や歯周病になりやすくなります
- 矯正治療後の保定が不十分だと後戻り(元の位置に戻ろうとする動き)をします
- 自費診療(保険適用外)となります
当サイトの内容、テキスト、画像等の無断転載、複製、複写、盗用を固く禁じます。


























