症例詳細
Case detail
前歯の変色をキレイに セラミッククラウン審美治療
治療症例の内容
- 診療科目
- 治療カテゴリ
- 担当医
- 大元洋佑(ドクタープロフィール)
- 患者様
- 20代女性
- 治療期間
- 1ヶ月
- 治療回数
- 2-5回
- 治療計画
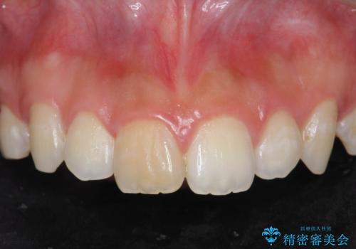
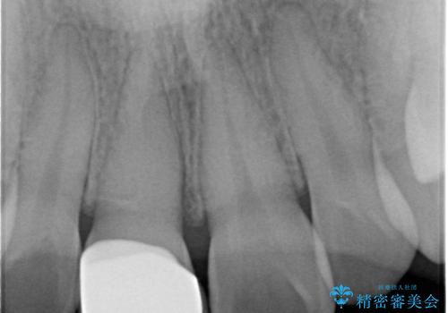
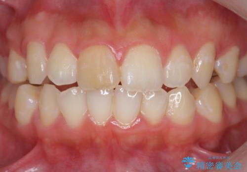
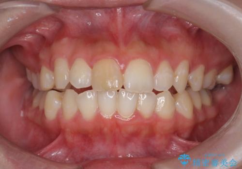
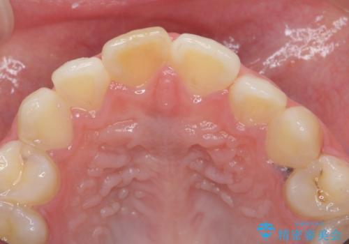
- 前歯の変色が気になる、見た目を改善したい!と審美性の回復を希望され来院されました。
ホワイトニングでは、周囲の歯との色調になじむほどには白くできないため、ジルコニアセラミッククラウンを用いて審美性を回復します。
- 費用(概算)
- 13.2万円(ジルコニアクラウン・仮歯)費用は治療当時の料金となります
治療について
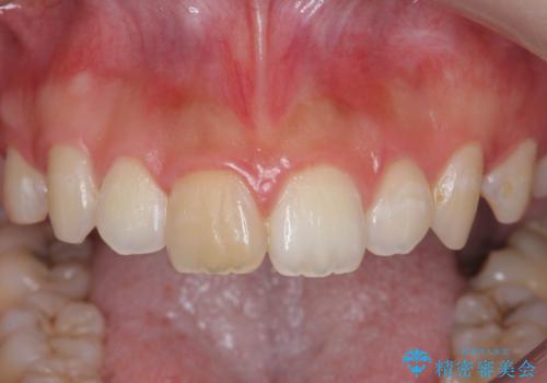
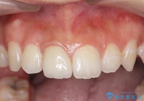
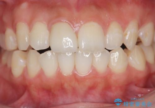
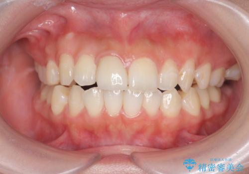
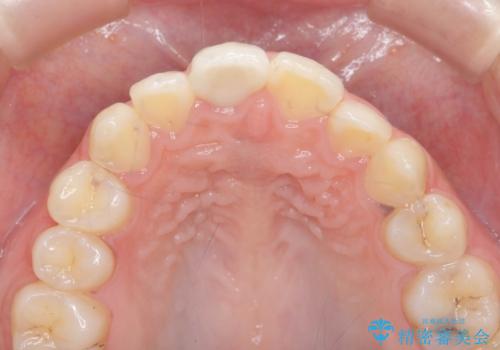
周囲の歯の色調に調和した審美性の高いセラミッククラウンを製作することができました。
セラミック治療の注意事項(リスク・副作用など)
- 天然歯を削ります
- 硬い素材は天然歯を傷つけてしまう場合があります
- かみ合わせや歯ぎしりが強すぎる方はセラミックが割れてしまう可能性があります
- 自費診療(保険適用外治療)となります
当サイトの内容、テキスト、画像等の無断転載、複製、複写、盗用を固く禁じます。














