症例詳細
Case detail
口元が出ているのが気になる。審美装置による抜歯矯正
治療症例の内容
- 診療科目
- 担当医
- 齋藤佑磨(ドクタープロフィール)
- 患者様
- 30代男性
- 矯正装置
- 審美装置
- 治療期間
- 2年1ヶ月
- 治療回数
- 10-30回
- 治療計画
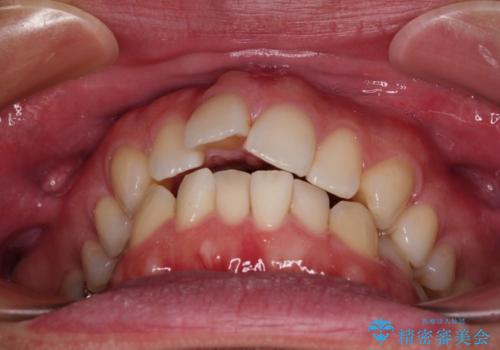
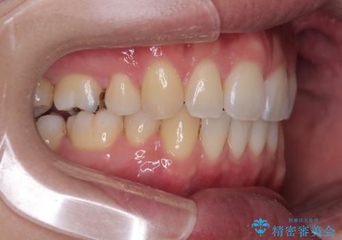
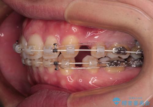
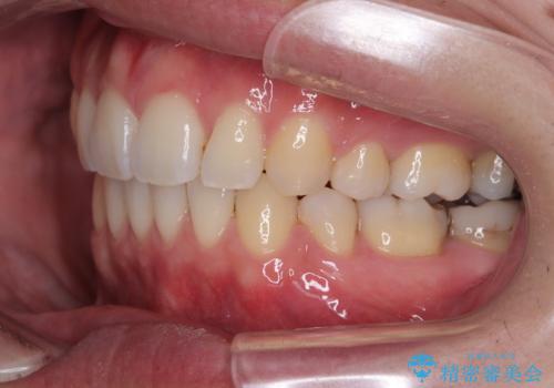
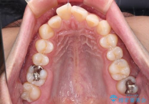
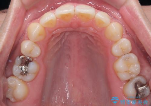
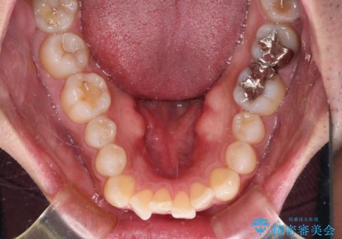
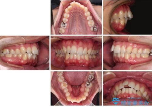
- 口元の突出感と下の前歯のがたつきを主訴として来院された患者様です。
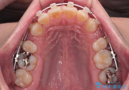
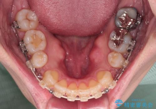
口元の突出感と叢生改善のため上下左右の第一小臼歯4本を抜歯し、ワイヤー装置にて矯正治療を行うこととしました。
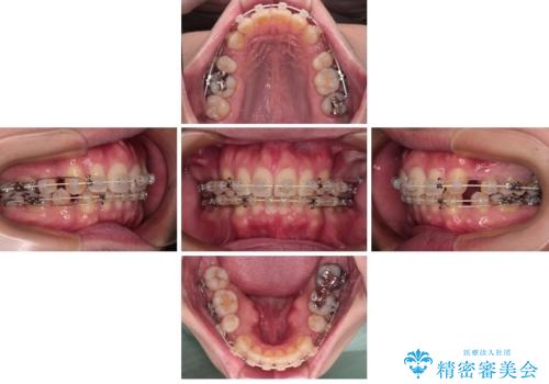
なるべく目立たない装置が希望だったため、審美装置で治療を行いました。
- 費用(概算)
- 105万円(税込)費用は治療当時の料金となります
治療について
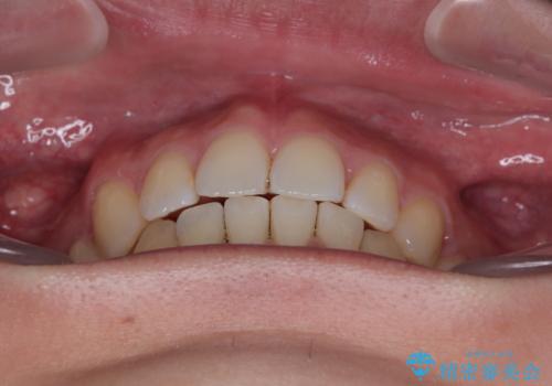
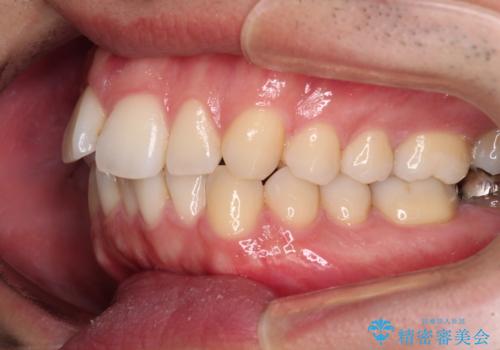
左上はアンカースクリューを併用することでスムーズに抜歯スペースを閉じることができました。
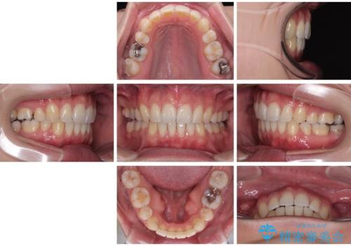
口元の突出感もなくなり満足されました。
ワイヤー矯正の注意事項(リスク・副作用など)
- 治療中は違和感や痛みが起こることがあります
- 症状により、抜歯が必要な場合があります
- 治療中は歯磨きがしにくくなるため、虫歯や歯周病になりやすくなります
- 矯正治療後の保定が不十分だと後戻り(元の位置に戻ろうとする動き)をします
- 自費診療(保険適用外)となります
当サイトの内容、テキスト、画像等の無断転載、複製、複写、盗用を固く禁じます。


























