症例詳細
Case detail
永久歯の先天欠如 インプラントによる補綴
治療症例の内容
- 担当医
- 齋藤佑磨(ドクタープロフィール)
- 患者様
- 20代男性
- 治療期間
- 6ヶ月
- 治療回数
- 5-10回
- 治療計画
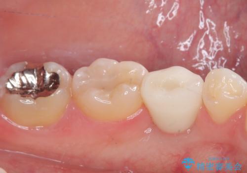
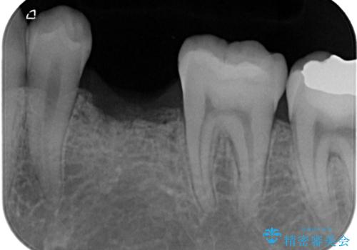
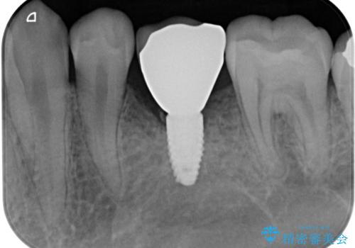
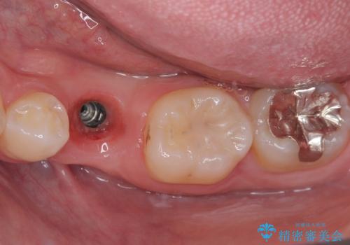
- 乳歯を抜歯したところにインプラントをしたいと来院された患者様です。
永久歯の先天欠如による乳歯の晩期残存があり、その乳歯が虫歯になってしまい保存不可能になり、他院で抜歯をし義歯を使用していた状態です。
義歯では嚙みづらいため、インプラントによる補綴をしていくこととしました。
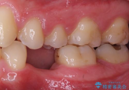
なお、反対側も永久歯先天欠如による、乳歯の残存がありますが、特に齲蝕も認められないため処置をせず、できるだけ保存していくこととしました。
- 費用(概算)
- 38万円(税込)費用は治療当時の料金となります
治療について
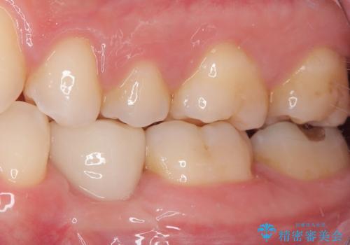
義歯と違ってしっかり噛めるようになって食事がおいしくなったと満足していただけました。
インプラント治療の注意事項(リスク・副作用など)
- 外科手術のため、術後に痛みや腫れ、違和感を伴います
- メンテナンスを怠ったり喫煙により、お口の中に大きな悪影響を及ぼすインプラント周囲炎等にかかる可能性があります
- 糖尿病、肝硬変、心臓病等の場合、インプラント治療ができない可能性があります
- 高血圧、貧血・不整脈等の場合、インプラント治療後に治癒不全を招く可能性があります
- 自費診療(保険適用外治療)となります
当サイトの内容、テキスト、画像等の無断転載、複製、複写、盗用を固く禁じます。











