症例詳細
Case detail
前歯をきれいにやり替えたい
治療症例の内容
- 診療科目
- 治療カテゴリ
- 担当医
- 齋藤佑磨(ドクタープロフィール)
- 患者様
- 40代女性
- 治療期間
- 2ヶ月
- 治療回数
- 2-5回
- 治療計画
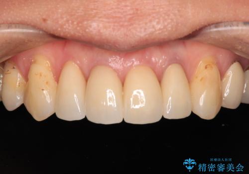
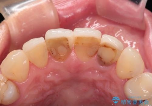
- 他院で治療したラミネートベニアをきれいにやり替えたいと来院された患者様です。
ラミネートベニアの欠けてしまっているところをコンポジットレジンで修復してあり、変色が目立ちます。
また、ラミネートベニアと歯茎の境目も気になります。
根管治療をしている歯もあるため、オールセラミッククラウンにすることとしました。
再根管治療は希望されなかったため、土台のやり替えから行いました。
- 費用(概算)
- 57万円(税込)費用は治療当時の料金となります
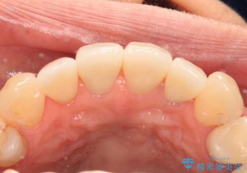
治療について
きれいに仕上がりとても満足されました。
セラミック治療の注意事項(リスク・副作用など)
- 天然歯を削ります
- 硬い素材は天然歯を傷つけてしまう場合があります
- かみ合わせや歯ぎしりが強すぎる方はセラミックが割れてしまう可能性があります
- 自費診療(保険適用外治療)となります
当サイトの内容、テキスト、画像等の無断転載、複製、複写、盗用を固く禁じます。








