症例詳細
Case detail
セラミック・インプラント治療を含む包括歯周病治療
- 患者様
- 40代女性
- 治療期間
- 1年4ヶ月
- 治療回数
- 10-30回
- 治療計画
- 「銀歯だらけの歯を変えたい。他院で歯周病と指摘されたがクリーニング以外何もしてくれない。」、とセラミック治療歯周病治療を希望され来院されました。
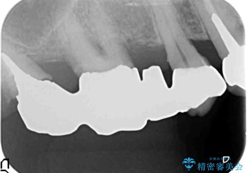
検査の結果、感染根管や欠損、歯周病により残すことのできない歯、等多々問題が認められます。
残すことのできる歯できない歯を選別し、欠損部にはインプラントによる咬合機能の回復、保存できる歯には歯周病治療・根管治療を行う治療計画としました。
- 費用(概算)
- 約220万円費用は治療当時の料金となります
治療について
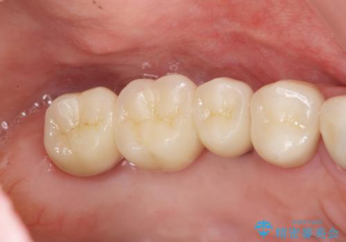
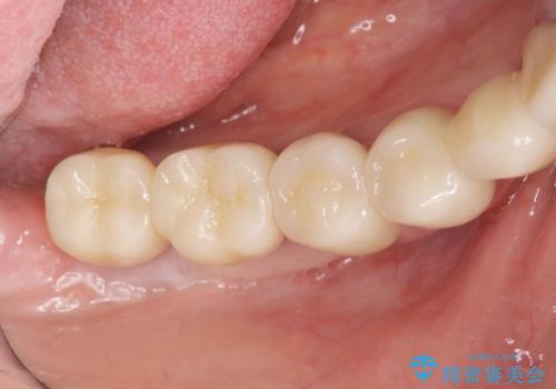
銀歯がセラミッククラウンとなり見た目は美しくなりましたが、審美性だけでなく清掃性も向上し、歯ぐきの状態も良好で、歯周病の再発なく経過しています。
歯周病治療の注意事項(リスク・副作用など)
- 外科手術のため、術後に痛みや腫れ、違和感を伴います
- 歯周組織再生治療は患者様の状態によって術後の経過が異なります(見た目が改善しない場合もあります)
- 歯周組織再生治療は自費診療(保険適用外)となります
インプラント治療の注意事項(リスク・副作用など)
- 外科手術のため、術後に痛みや腫れ、違和感を伴います
- メンテナンスを怠ったり喫煙により、お口の中に大きな悪影響を及ぼすインプラント周囲炎等にかかる可能性があります
- 糖尿病、肝硬変、心臓病等の場合、インプラント治療ができない可能性があります
- 高血圧、貧血・不整脈等の場合、インプラント治療後に治癒不全を招く可能性があります
- 自費診療(保険適用外治療)となります
当サイトの内容、テキスト、画像等の無断転載、複製、複写、盗用を固く禁じます。















