症例詳細
Case detail
奥歯が痛い 破折した奥歯のインプラント治療
治療症例の内容
- 担当医
- 藤巻太一朗(ドクタープロフィール)
- 患者様
- 40代男性
- 治療期間
- 1年1ヶ月
- 治療回数
- 5-10回
- 治療計画
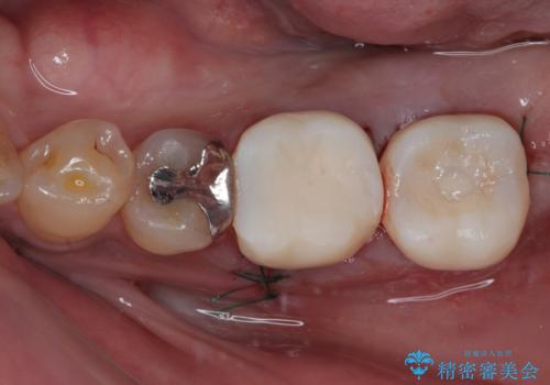
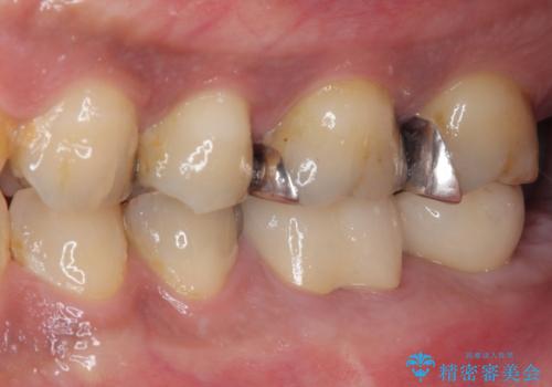
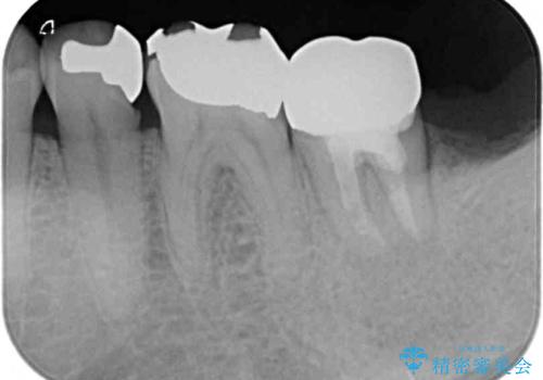
- 食事などで噛んだ時に奥歯が痛むとのことで来院された患者様です。
レントゲン写真より、一番奥の歯の根尖部に大きな病変(炎症により骨が溶けている状態)が認められたため、根管治療を行うこととしました。
根管治療後に痛みは一次消退しましたが、半年ほど経過しても病変は改善しておらず、歯根が破折している状態となっていました。
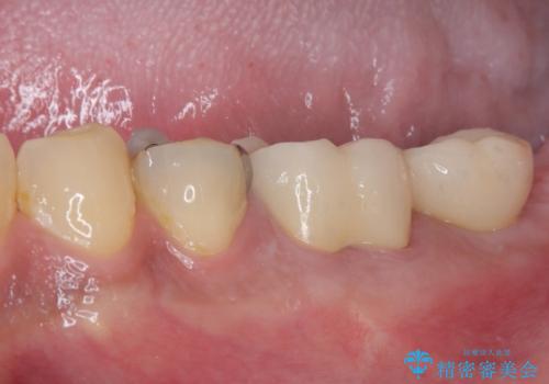
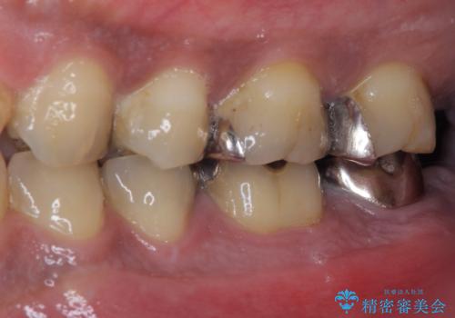
歯根が破折した歯は抜歯となるため、抜歯して病変の部分に骨が回復するのを待って、インプラントによる補綴治療を行うこととしました。
- 費用(概算)
- 治療費の目安: 70万円(税込)費用は治療当時の料金となります
治療について
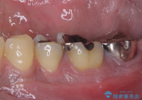
インプラント治療まで待機している間に、手前のむし歯処置されている歯が強い痛みに襲われ、確認したところ、既に神経組織が壊死している状態であったため、根管治療を行い、インプラント部と合わせて補綴治療を行いました。
インプラント治療の注意事項(リスク・副作用など)
- 外科手術のため、術後に痛みや腫れ、違和感を伴います
- メンテナンスを怠ったり喫煙により、お口の中に大きな悪影響を及ぼすインプラント周囲炎等にかかる可能性があります
- 糖尿病、肝硬変、心臓病等の場合、インプラント治療ができない可能性があります
- 高血圧、貧血・不整脈等の場合、インプラント治療後に治癒不全を招く可能性があります
- 自費診療(保険適用外治療)となります
セラミック治療の注意事項(リスク・副作用など)
- 天然歯を削ります
- 硬い素材は天然歯を傷つけてしまう場合があります
- かみ合わせや歯ぎしりが強すぎる方はセラミックが割れてしまう可能性があります
- 自費診療(保険適用外治療)となります
当サイトの内容、テキスト、画像等の無断転載、複製、複写、盗用を固く禁じます。
















