症例詳細
Case detail
目立つ八重歯を改善 ワイヤー装置での抜歯矯正
治療症例の内容
- 診療科目
- 担当医
- 藤巻太一朗(ドクタープロフィール)
- 患者様
- 40代女性
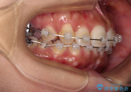
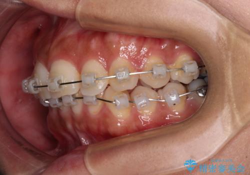
- 矯正装置
- クリアブラケット
- 治療期間
- 2年1ヶ月
- 治療回数
- 10-30回
- 治療計画
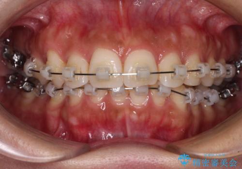
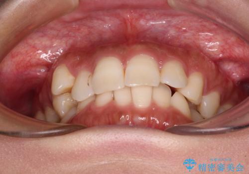
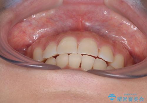
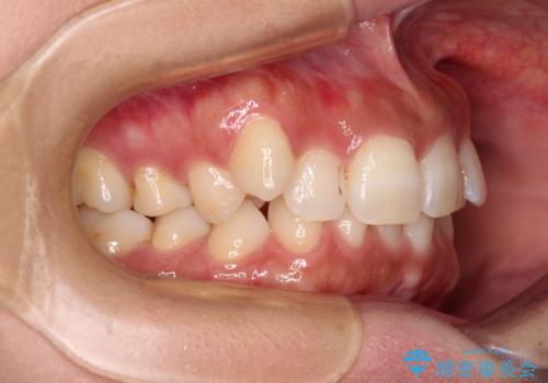
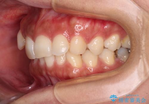
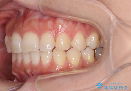
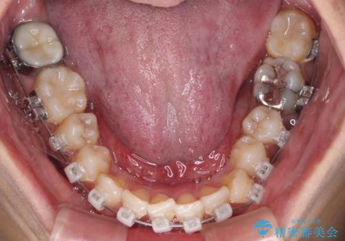
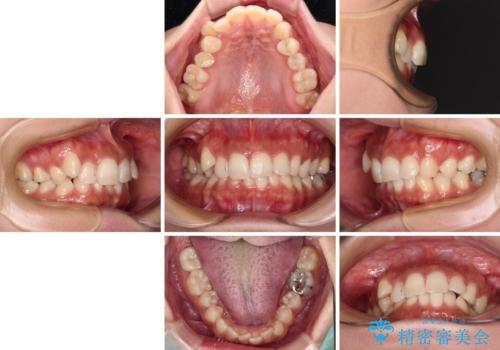
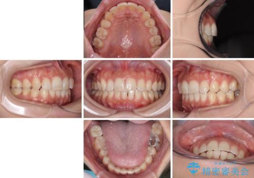
- 目立つ八重歯を気にして来院された患者様です。
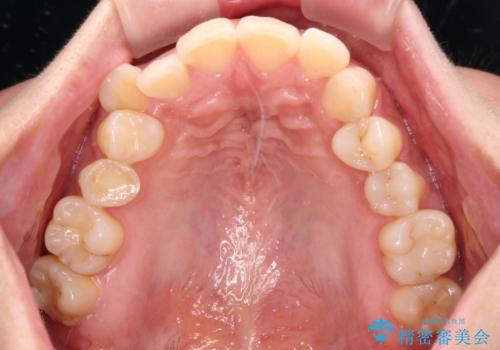
上顎小臼歯を抜歯するかどうか悩みましたが、八重歯の後方に失活歯があること、治療前に上顎正中が概ね人中に合っていることから、右上第二小臼歯を抜歯することとしました。
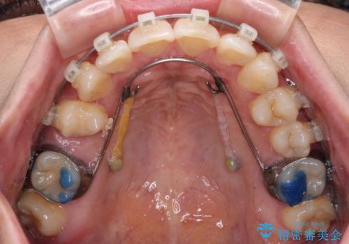
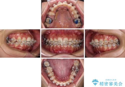
片側での抜歯であると、正中が抜歯した方向にずれていくため、左上の奥歯を遠心移動させる目的でアンカースクリューと補助装置を併用した上で、ワイヤー装置にて矯正治療を行うこととしました。
- 費用(概算)
- 治療費の目安: 110万円(税込)費用は治療当時の料金となります
治療について
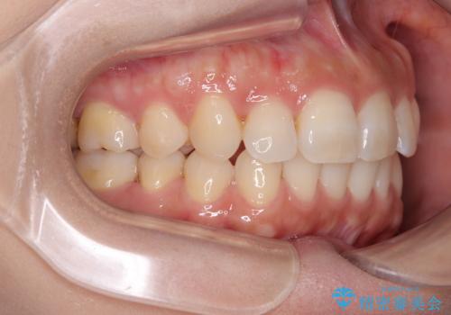
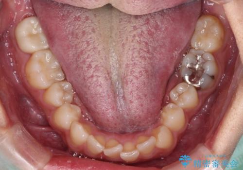
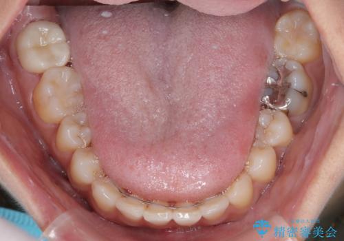
上顎の正中位置をほぼ保った状態で、綺麗に仕上げることができました。
ワイヤー矯正の注意事項(リスク・副作用など)
- 治療中は違和感や痛みが起こることがあります
- 症状により、抜歯が必要な場合があります
- 治療中は歯磨きがしにくくなるため、虫歯や歯周病になりやすくなります
- 矯正治療後の保定が不十分だと後戻り(元の位置に戻ろうとする動き)をします
- 自費診療(保険適用外)となります
当サイトの内容、テキスト、画像等の無断転載、複製、複写、盗用を固く禁じます。


























