症例詳細
Case detail
飛び出した前歯と八重歯を改善 ワイヤー装置での抜歯矯正
治療症例の内容
- 診療科目
- 治療カテゴリ
- 担当医
- 藤巻太一朗(ドクタープロフィール)
- 患者様
- 30代女性
- 矯正装置
- 審美装置
- 治療期間
- 2年7ヶ月
- 治療回数
- 10-30回
- 治療計画
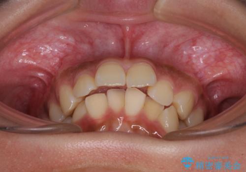
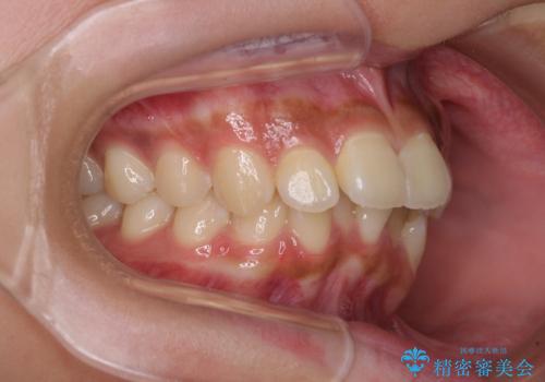
- 下唇に上顎前歯の跡がつくくらいに突出した前歯とデコボコを気にして来院された患者様です。
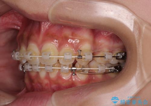
口元の突出感改善のため、上下左右の第一小臼歯4本を抜歯し、ワイヤー装置にて矯正治療を行うこととしました。
- 費用(概算)
- 治療費の目安: 105万円(税込)費用は治療当時の料金となります
治療について
それほど口元の突出感が強いわけではありませんでしたが、下唇に前歯引っかかる感触が気になっていたため、抜歯矯正を行うこととしました。
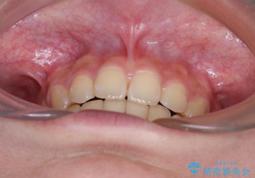
上下前歯の被蓋が理想通りに改善され、患者様には大変満足していただけました。
ワイヤー矯正の注意事項(リスク・副作用など)
- 治療中は違和感や痛みが起こることがあります
- 症状により、抜歯が必要な場合があります
- 治療中は歯磨きがしにくくなるため、虫歯や歯周病になりやすくなります
- 矯正治療後の保定が不十分だと後戻り(元の位置に戻ろうとする動き)をします
- 自費診療(保険適用外)となります
当サイトの内容、テキスト、画像等の無断転載、複製、複写、盗用を固く禁じます。


























