症例詳細
Case detail
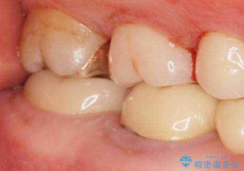
インレー下に再発した虫歯 セラミッククラウンによるやり替え
治療症例の内容
- 診療科目
- 治療カテゴリ
- 担当医
- 大元洋佑(ドクタープロフィール)
- 患者様
- 50代女性
- 治療期間
- 1ヶ月
- 治療回数
- 2-5回
- 治療計画
- 「食事の際にバキッと音がした。心配なので見てほしい。」と歯の検診を希望され来院されました。
視診にて、インレーの破折、インレー下に虫歯が再発していることを認めました。
壊れてしまったインレーおよび、虫歯を神経を温存できるよう丁寧に除去したのち、耐破折に優れるセラミッククラウンで再補綴治療を行います。
- 費用(概算)
- 13.2万円(ジルコニアクラウン・仮歯)費用は治療当時の料金となります
治療について
再発した虫歯は小さくなかったものの、丁寧に虫歯をとることで神経を温存することができました。
セラミック治療の注意事項(リスク・副作用など)
- 天然歯を削ります
- 硬い素材は天然歯を傷つけてしまう場合があります
- かみ合わせや歯ぎしりが強すぎる方はセラミックが割れてしまう可能性があります
- 自費診療(保険適用外治療)となります
当サイトの内容、テキスト、画像等の無断転載、複製、複写、盗用を固く禁じます。








