症例詳細
Case detail
セラミックの詰め物が欠けたのでやり替えたい オールセラミッククラウン
治療症例の内容
- 診療科目
- 治療カテゴリ
- 担当医
- 有澤哲郎(ドクタープロフィール)
- 患者様
- 30代男性
- 治療期間
- 2ヶ月
- 治療回数
- 2-5回
- 治療計画
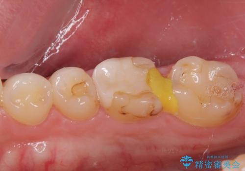
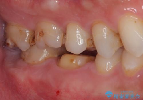
- セラミックの詰め物が欠けたのでやり替えたいとのことで来院された患者様です。
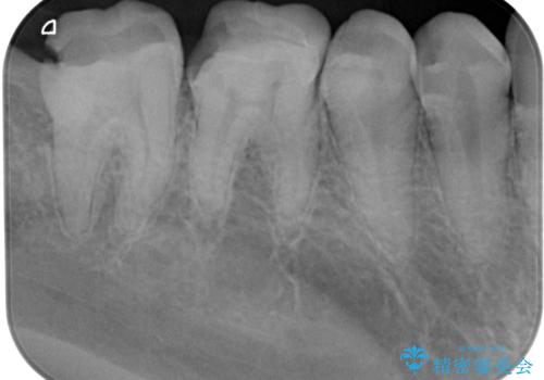
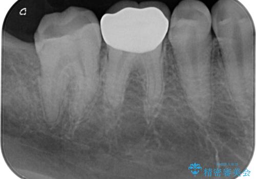
右下の6番目の歯は初診時から詰め物が大きかったため、被せものでの治療を提案していましたが、患者様の強いご希望でセラミックの詰め物(セラミックインレー)での治療をされていました。今回メインテナンス時に来院されたときに被せもの(オールセラミッククラウン)での治療を再度提案させていただき、患者様にも納得をしていただいたうえで、オールセラミッククラウンによる治療を行いました。
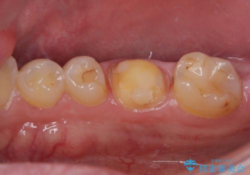
拡大鏡視野下で、セラミックの詰め物(セラミックインレー)、虫歯の除去を行い、オールセラミッククラウンに適した形に整えました。
歯と歯茎の間に圧排糸と言われる糸を入れてシリコーン印象材にて型どりをしました。
- 費用(概算)
- 14万円(税込み)費用は治療当時の料金となります
治療について
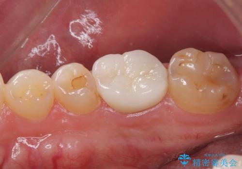
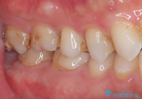
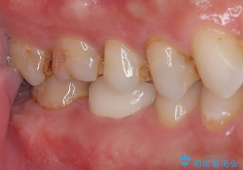
治療後特に問題もなく見た目、噛み合わせともに満足していただけました。
特に舌感が良いと喜んでくれました。
色については今後ホワイトニングをするので明るめをご希望されました。
オールセラミッククラウンは精密な型どりを行っているため、虫歯の再発リスクも少ないです。
嚙む力が強いのでマウスピースをこれから使用してもらう予定です。
セラミック治療の注意事項(リスク・副作用など)
- 天然歯を削ります
- 硬い素材は天然歯を傷つけてしまう場合があります
- かみ合わせや歯ぎしりが強すぎる方はセラミックが割れてしまう可能性があります
- 自費診療(保険適用外治療)となります
その他の注意事項(リスク・副作用など)
- 担当歯科医師、歯科衛生士又は医院スタッフから受けた説明・注意事項をよくご確認ください
- 医療を提供するに当たり、適切な説明を行い、患者様の十分な理解を得るよう努めております
当サイトの内容、テキスト、画像等の無断転載、複製、複写、盗用を固く禁じます。











