症例詳細
Case detail
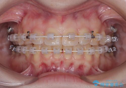
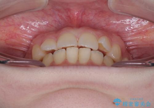
左上の前歯が出ているのが気になる 審美装置による非抜歯ワイヤー矯正
治療症例の内容
- 診療科目
 
- 担当医
 - 齋藤佑磨(ドクタープロフィール)
 
- 患者様
 - 20代女性
 
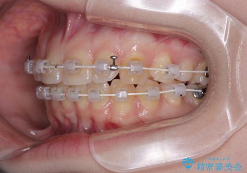
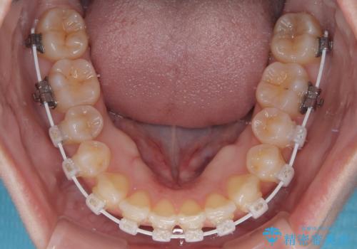
- 矯正装置
 - 審美装置
 
- 治療期間
 - 1年4ヶ月
 
- 治療回数
 - 10-30回
 
- 治療計画
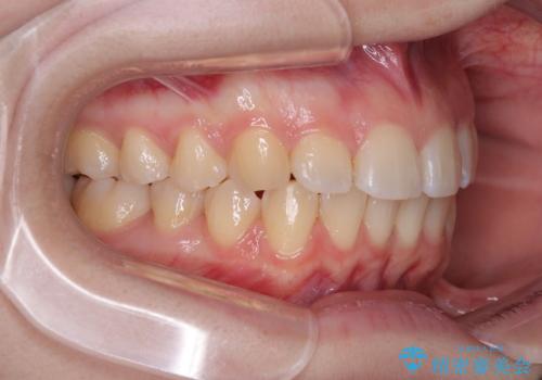
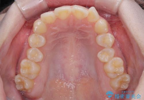
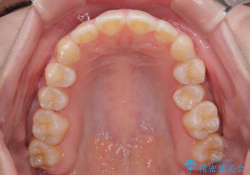
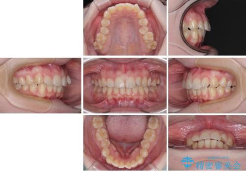
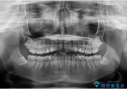
 - 左上の前歯が出ていることを主訴として来院された患者様です。
当初はインビザラインを希望されていましたが、職業柄お茶する機会が多く装着時間を確保することが難しいとのことで、相談の上ワイヤー矯正の中では目立ちにくい審美装置で矯正を進めていくこととしました。 
- 費用(概算)
 - 94万円(税込)費用は治療当時の料金となります
 
治療について
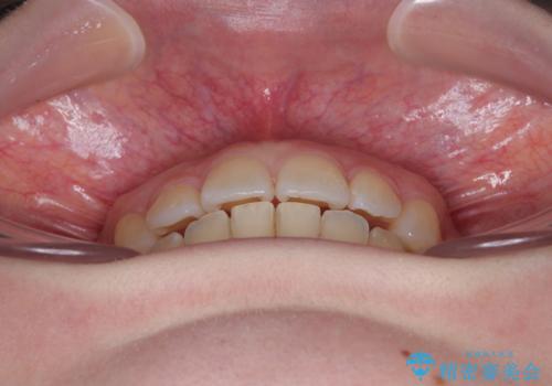
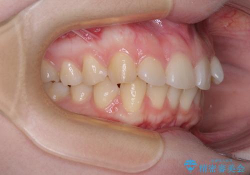
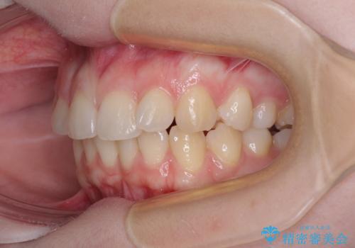
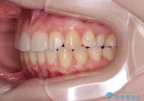
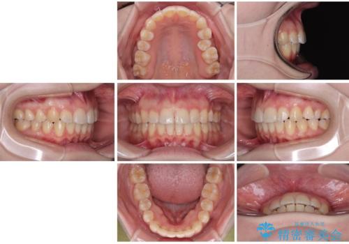
1年と少しで矯正治療を終えることができ患者様は大変満足されました。
ワイヤー矯正の注意事項(リスク・副作用など)
- 治療中は違和感や痛みが起こることがあります
 - 症状により、抜歯が必要な場合があります
 - 治療中は歯磨きがしにくくなるため、虫歯や歯周病になりやすくなります
 - 矯正治療後の保定が不十分だと後戻り(元の位置に戻ろうとする動き)をします
 - 自費診療(保険適用外)となります
 
当サイトの内容、テキスト、画像等の無断転載、複製、複写、盗用を固く禁じます。

                      
                                                          























