症例詳細
Case detail
前歯をきれいにしたい オールセラミッククラウンにによる補綴
治療症例の内容
- 診療科目
- 治療カテゴリ
- 担当医
- 齋藤佑磨(ドクタープロフィール)
- 患者様
- 30代女性
- 治療期間
- 2ヶ月
- 治療回数
- 2-5回
- 治療計画
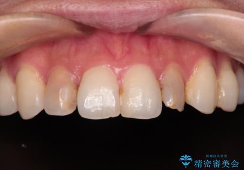
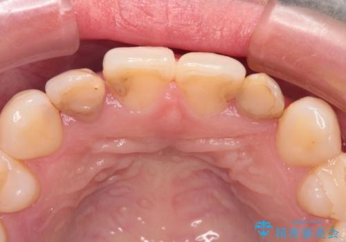
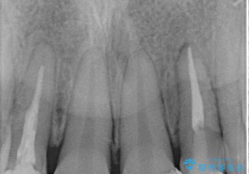
- 前歯の変色が気になるので、きれいにしたいことを主訴として来院された患者様です。
もともと矮小歯であることが気になっており、他院で矯正治療を行い、スペースを作っている状態でした。
そちらの医院では補綴治療を希望せず、当院でやっていきたいとのことでした。
根管治療をしているため、歯の変色が認められます。
特に症状はなく、根管治療のやり直しは希望されなかったため、土台のやり替えから処置をしていくとととしました。
- 費用(概算)
- 31万円(税込)費用は治療当時の料金となります
治療について
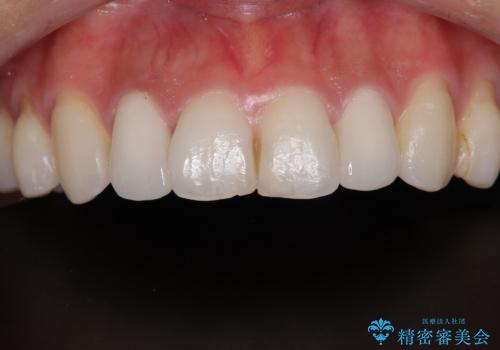
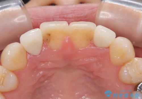
もともと矮小歯で歯の大きさが小さいことが気になっていましたが、改善されて満足されました。
セラミック治療の注意事項(リスク・副作用など)
- 天然歯を削ります
- 硬い素材は天然歯を傷つけてしまう場合があります
- かみ合わせや歯ぎしりが強すぎる方はセラミックが割れてしまう可能性があります
- 自費診療(保険適用外治療)となります
当サイトの内容、テキスト、画像等の無断転載、複製、複写、盗用を固く禁じます。








