症例詳細
Case detail
【オールセラミッククラウン】虫歯で歯が欠けた!
治療症例の内容
- 診療科目
- 治療カテゴリ
- 担当医
- 河野豊嘉(ドクタープロフィール)
- 患者様
- 70代男性
- 治療期間
- 1ヶ月
- 治療回数
- 2-5回
- 治療計画
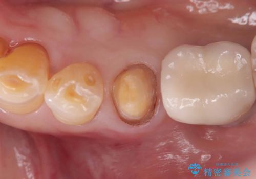
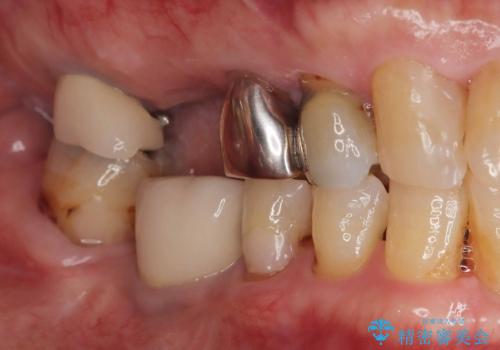
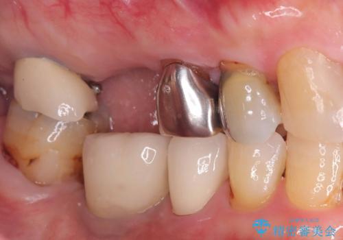
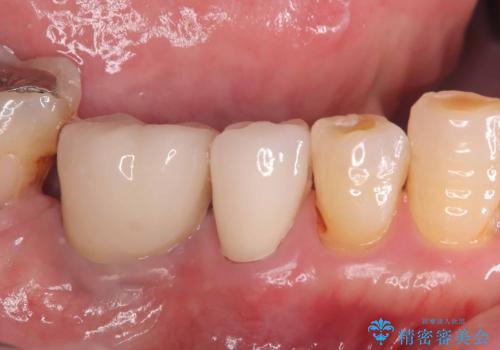
- 虫歯が原因で歯が欠けていました。昔詰めた保険の材料(CR)が劣化しその下が虫歯になっている状態でした。
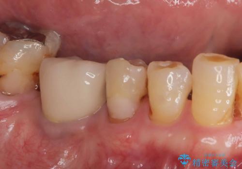
色々な箇所にCR(保険の材料)を詰めてあったので、CRと虫歯を全部除去した後、オールセラミッククラウンで治療を行いました。
- 費用(概算)
- 132,000円(仮歯:10,000円+オールセラミッククラウンスタンダード110,000円)費用は治療当時の料金となります
治療について
古いCR(保険治療で使用されるプラスチック)を除去すると残りの歯質が薄いため、破折抵抗を考慮しオールセラミッククラウンで治療を行いました。
セラミック治療の注意事項(リスク・副作用など)
- 天然歯を削ります
- 硬い素材は天然歯を傷つけてしまう場合があります
- かみ合わせや歯ぎしりが強すぎる方はセラミックが割れてしまう可能性があります
- 自費診療(保険適用外治療)となります
当サイトの内容、テキスト、画像等の無断転載、複製、複写、盗用を固く禁じます。









