症例詳細
Case detail
【セラミックインレー】むし歯の再発防止を考えた治療
治療症例の内容
- 診療科目
- 治療カテゴリ
- 担当医
- 河口智英(ドクタープロフィール)
- 患者様
- 20代女性
- 治療期間
- 1ヶ月
- 治療回数
- 2-5回
- 治療計画
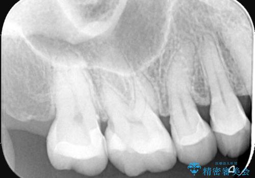
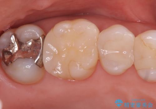
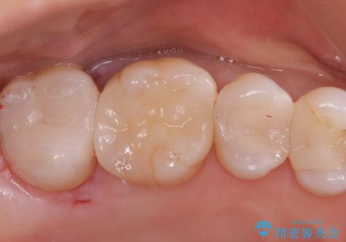
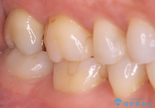
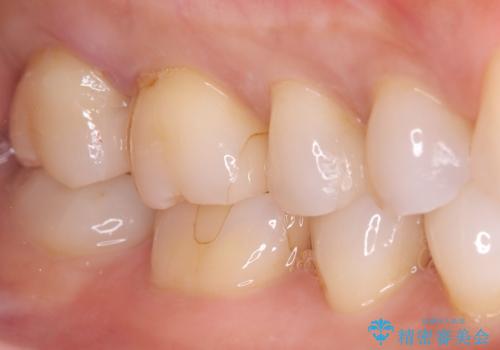
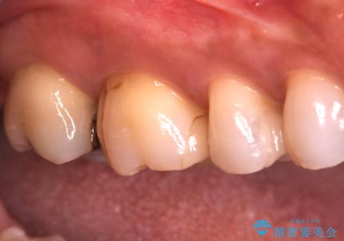
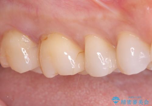
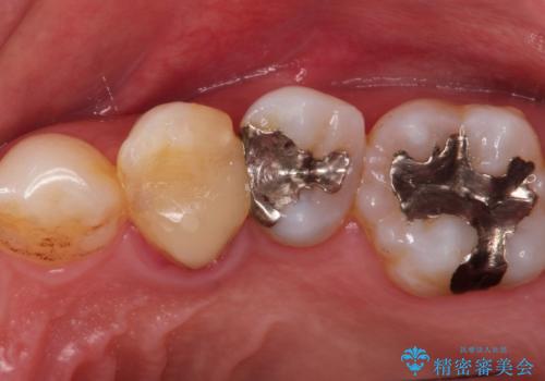
- 昔入れたメタルインレーの下にむし歯が再発したため治療を行った患者様です。
メタルインレーは汚れが付着しやすく、適合も悪いことがあるため、むし歯が再発しやすかったと思われます。
フロスなどの日常の清掃はもちろん不可欠ですが、メタルインレーより汚れが付着しずらいセラミックインレーにて今回は治療を行いました。
- 費用(概算)
- 7万円費用は治療当時の料金となります
治療について
セラミックインレー装着時はラバーダムを使用して行っています。
セラミック治療の注意事項(リスク・副作用など)
- 天然歯を削ります
- 硬い素材は天然歯を傷つけてしまう場合があります
- かみ合わせや歯ぎしりが強すぎる方はセラミックが割れてしまう可能性があります
- 自費診療(保険適用外治療)となります
当サイトの内容、テキスト、画像等の無断転載、複製、複写、盗用を固く禁じます。








