症例詳細
Case detail
虫歯・破折の放置により重度に吸収した歯槽骨 骨造成後のインプラント治療
治療症例の内容
- 患者様
- 20代女性
- 治療期間
- 2年
- 治療回数
- 10-30回
- 治療計画
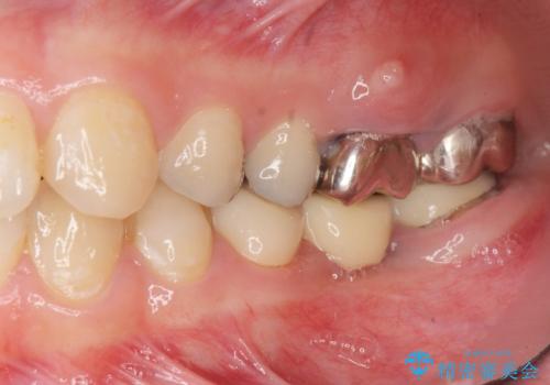
- 「銀歯で被せた歯の歯ぐきが腫れる、痛みが続く。」と痛みの改善を求めて来院されました。
X線検査の結果、左上6には歯根破折、左上7には銀歯の下に大きな虫歯の再発が認められ共に抜歯をせずには症状の改善が見込めない状況です。
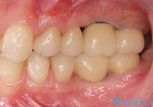
奥歯を2本失ったのち、しっかりと噛める環境へと整備するため、しっかりと骨の造成を行い清掃性を高めたインプラント治療を行っていくこととしました。
- 費用(概算)
- 110万円(インプラント×2・チタンカスタムアバットメント×2・ジルコニアクラウン×2・仮歯×2・ 骨造成・サイナスリフト)費用は治療当時の料金となります
治療について
インプラントの仕上がりを見越して、ただ埋入するだけではなく長期的な予後を見込むには清掃のしやすい環境を整備することが大切です。
今回は大きく吸収してしまった歯槽骨をしっかりと造成することで、歯間ブラシを行いやすいインプラント周囲環境を整備することができました。
外科処置の注意事項(リスク・副作用など)
- 外科手術のため、術後に出血、痛みや腫れ、違和感を伴います
- 口腔内の状態によっては適応できないことがあります
インプラント治療の注意事項(リスク・副作用など)
- 外科手術のため、術後に痛みや腫れ、違和感を伴います
- メンテナンスを怠ったり喫煙により、お口の中に大きな悪影響を及ぼすインプラント周囲炎等にかかる可能性があります
- 糖尿病、肝硬変、心臓病等の場合、インプラント治療ができない可能性があります
- 高血圧、貧血・不整脈等の場合、インプラント治療後に治癒不全を招く可能性があります
- 自費診療(保険適用外治療)となります
セラミック治療の注意事項(リスク・副作用など)
- 天然歯を削ります
- 硬い素材は天然歯を傷つけてしまう場合があります
- かみ合わせや歯ぎしりが強すぎる方はセラミックが割れてしまう可能性があります
- 自費診療(保険適用外治療)となります
当サイトの内容、テキスト、画像等の無断転載、複製、複写、盗用を固く禁じます。






























