症例詳細
Case detail
前歯の悩みを非抜歯ワイヤー矯正で改善
治療症例の内容
- 患者様
- 20代女性
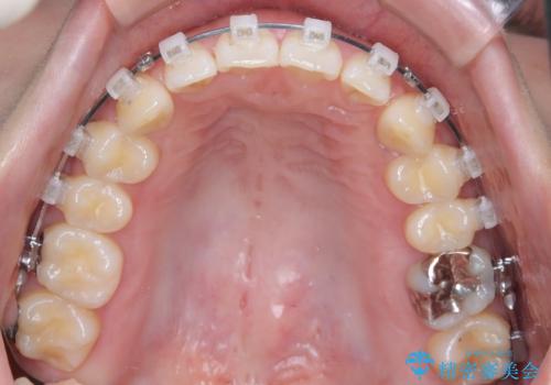
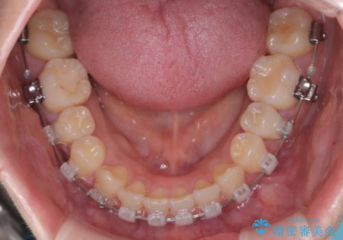
- 矯正装置
- ワイヤー矯正
- 治療期間
- 2年2ヶ月
- 治療回数
- 30回以上
- 治療計画
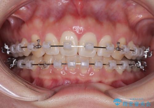
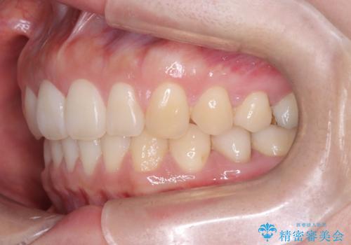
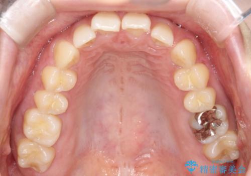
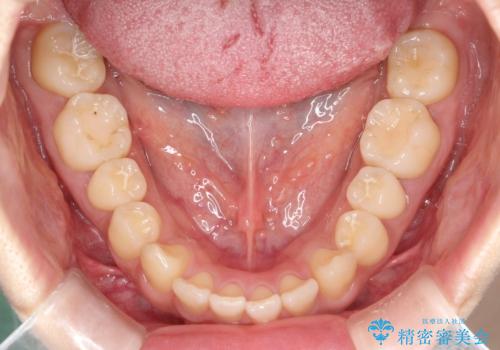
- 前歯のガタつきと隙間を気にされてご来院されました。少し前に出ている前歯や、下の前歯が上の歯茎に当たることもお悩みでした。
患者様のご希望に応える形で、非抜歯でのワイヤー矯正を提案いたしました。
- 費用(概算)
- 95万円費用は治療当時の料金となります
治療について
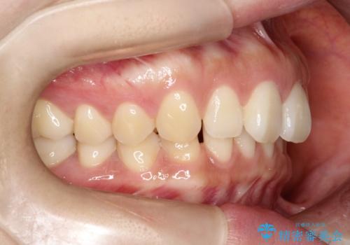
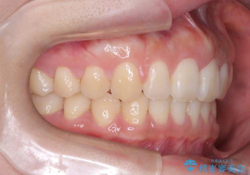
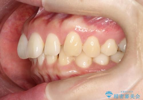
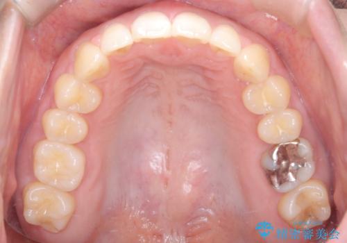
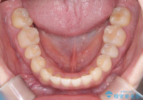
治療の結果、患者様の前歯のガタつきと隙間がきれいに整い、前に出ていた歯も正しい位置に収まりました。また、下の前歯が上の歯茎に当たる問題も解消されました。
ワイヤー矯正治療は、歯を正しい位置に移動させるための矯正装置を使用し、定期的な調整(月に1回ほど)によって治療を進めます。
当院では経験豊富な歯科医師が丁寧に診断し、最適な治療プランを提案いたします。
ワイヤー矯正の注意事項(リスク・副作用など)
- 治療中は違和感や痛みが起こることがあります
- 症状により、抜歯が必要な場合があります
- 治療中は歯磨きがしにくくなるため、虫歯や歯周病になりやすくなります
- 矯正治療後の保定が不十分だと後戻り(元の位置に戻ろうとする動き)をします
- 自費診療(保険適用外)となります
当サイトの内容、テキスト、画像等の無断転載、複製、複写、盗用を固く禁じます。















