症例詳細
Case detail
【奥歯のセラミッククラウン】他院で根管治療も必要だといわれた。
治療症例の内容
- 診療科目
- 治療カテゴリ
- 担当医
- 河口智英(ドクタープロフィール)
- 患者様
- 20代女性
- 治療期間
- 2ヶ月
- 治療回数
- 2-5回
- 治療計画
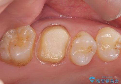
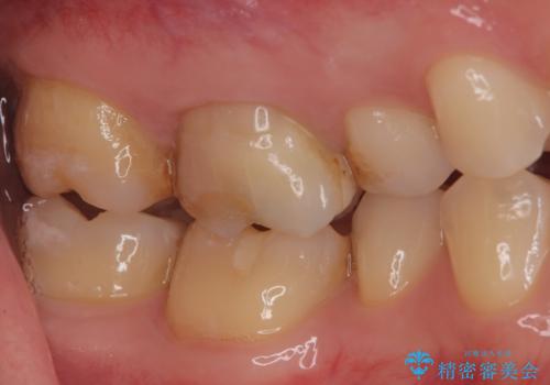
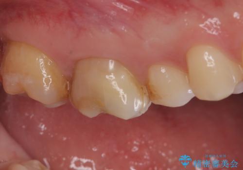
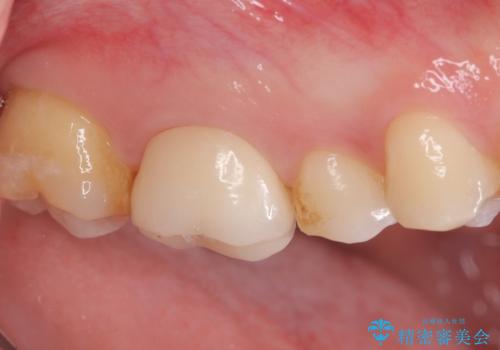
- 他院で歯の根っこの先端に膿が溜まっているため治療が必要だといわれた患者様です。
根っこの治療を顕微鏡を見ながら行ってくれる医院を探して当院に来院されました。
もともと症状はない状態でしたが、治療後は少しずつ病変の大きさが小さくなっているのを確認できます。
- 費用(概算)
- 26万円費用は治療当時の料金となります
治療について
以前治療した際のむし歯が大きく、長い年月の間に少しずつ歯髄が死んでしまったと思われる状況でした。
長期にわたる炎症により、口蓋根尖は吸収を起こしていたため、MTAにて充填しています。
セラミック治療の注意事項(リスク・副作用など)
- 天然歯を削ります
- 硬い素材は天然歯を傷つけてしまう場合があります
- かみ合わせや歯ぎしりが強すぎる方はセラミックが割れてしまう可能性があります
- 自費診療(保険適用外治療)となります
根管治療の注意事項(リスク・副作用など)
- 根管治療により類似の全ての症例の問題が解決するわけではなく、症例はあくまでも一例です
- 根管治療により痛みや腫れがひかない事や、術後に痛みや腫れが生じる事、治療によるファイル破折やパーフォレーションなどの偶発症、術後の歯根破折を生じる可能性もあります
- 自費診療(保険適用外)となります
当サイトの内容、テキスト、画像等の無断転載、複製、複写、盗用を固く禁じます。









