症例詳細
Case detail
歯医者が怖い 1DAYインプラントで外科処置の恐怖を軽減
治療症例の内容
- 担当医
- 藤巻太一朗(ドクタープロフィール)
- 患者様
- 20代女性
- 治療期間
- 5ヶ月
- 治療回数
- 10-30回
- 治療計画
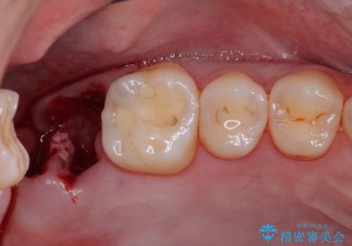
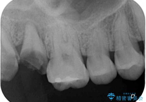
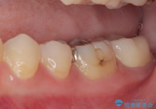
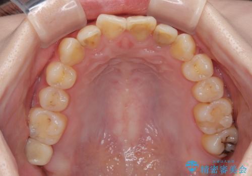
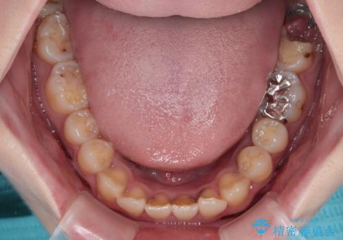
- 過去の歯医者通いの恐怖から虫歯を放置してきたものの、一大決心して来院された患者様です。
神経組織の失活している歯や歯根だけが残っている歯などがあり、全体的に歯石も多く付着している状態でした。
まずは歯石除去とブラッシング方法などの衛生指導を徹底的に行って口腔内環境を改善し、汚れの溜まりやすくなっている親知らずは全て抜去することとしました。
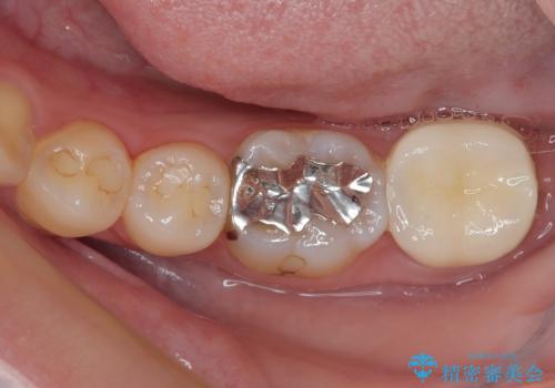
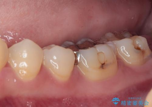
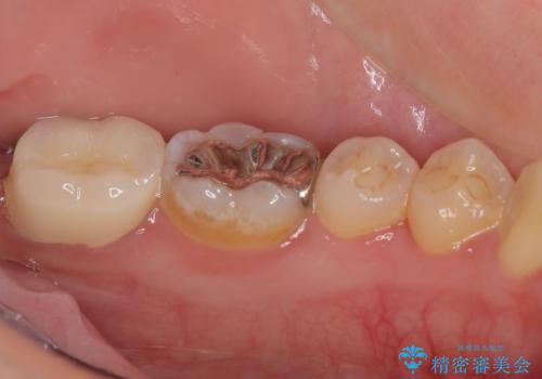
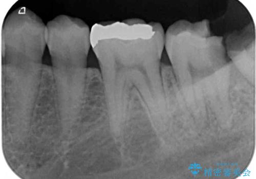
その後、歯根だけとなっている歯はインプラントに、神経組織の失活している歯は根管治療を行い、いずれもオールセラミッククラウンにて補綴治療を行うこととしました。
- 費用(概算)
- 治療費の目安: 75万円(税込)費用は治療当時の料金となります
治療について
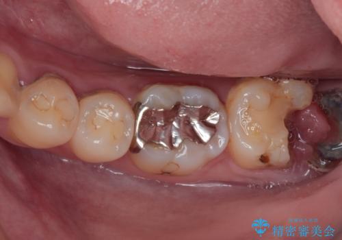
右上のインプラント治療は、1DAYインプラント治療(抜歯即時埋入・即時荷重)の適応となりましたので、通常3回必要な外科処置の回数を1回に集約させることができました。
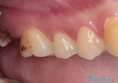
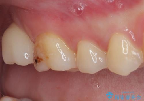
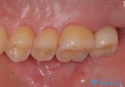
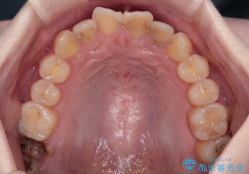
口腔内の環境が大きく改善し、現在はご自身のプラークコントロールにより良い状態が維持できるようになりました。
インプラント治療の注意事項(リスク・副作用など)
- 外科手術のため、術後に痛みや腫れ、違和感を伴います
- メンテナンスを怠ったり喫煙により、お口の中に大きな悪影響を及ぼすインプラント周囲炎等にかかる可能性があります
- 糖尿病、肝硬変、心臓病等の場合、インプラント治療ができない可能性があります
- 高血圧、貧血・不整脈等の場合、インプラント治療後に治癒不全を招く可能性があります
- 自費診療(保険適用外治療)となります
根管治療の注意事項(リスク・副作用など)
- 根管治療により類似の全ての症例の問題が解決するわけではなく、症例はあくまでも一例です
- 根管治療により痛みや腫れがひかない事や、術後に痛みや腫れが生じる事、治療によるファイル破折やパーフォレーションなどの偶発症、術後の歯根破折を生じる可能性もあります
- 自費診療(保険適用外)となります
セラミック治療の注意事項(リスク・副作用など)
- 天然歯を削ります
- 硬い素材は天然歯を傷つけてしまう場合があります
- かみ合わせや歯ぎしりが強すぎる方はセラミックが割れてしまう可能性があります
- 自費診療(保険適用外治療)となります
当サイトの内容、テキスト、画像等の無断転載、複製、複写、盗用を固く禁じます。
























